
안녕하세요? 서울가지런이치과 교정과 의원입니다. 오늘은 무턱 동반 돌출입 교정사례를 가져와봤습니다.


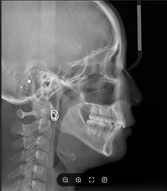
환자 분의 경우 상악 앞니가 많이 뻐드러진 케이스였습니다. 앞에서 볼 때는 잘 티가 나지 않지만 옆에서 봤을 때 뻐드러진 것을 확인할 수 있었는데요. 여기에 심한 무턱 증상을 동반하고 있었기 때문에 입이 힘을 주지 않을 때 다물어지지 않고 입술이 튀어나와보이는 증상을 갖고 있었습니다.
돌출입이 있는 경우 여기에 무턱까지 있는 경우라면 인상이 촌스러워 보이는 경향이 있는데 환자분의 케이스의 경우 두 가지 모두에 해당되었기 때문에 이미지 개선에도 교정이 큰 영향을 줄 수 있었습니다.



그래서 환자분의 경우 상악 치아에 미니스크류를 식립하고 상악 치열 전체를 후방으로 이동시켜드렸습니다. 발치를 하지 않고도 충분히 개선해볼 수 있었죠. 비발치로도 충분히 돌출입 교정을 진행해본 건데요. 여기에 심한 무턱 증상의 경우 환자분의 구강상태에 따라 다를 수 있는데 발치유무의 경우 환자마다 허용치가 다르기 때문에 상세한 설명 후 논의를 거쳐 진행해볼 필요가 있었어요. 환자분의 경우 상악에 먼저 미니스크류를 식립해 진행했고 이후 상하악 소구치 발치 공간을 이용해 상악 전치를 뒤로 넣게 플랜을 수립했습니다.
하악 역시 어금니의 교합이 정상적으로 맞춰지는 것을 확인하고 미니스크류를 식립해 진행했습니다. 이후 발치 공간을 닫아주기 위해 탄댐설측교정을 진행했는데요. 윗니는 설측교정으로 아랫니는 순측교정으로 콤비교정을 진행했는데요. 두 개의 와이어를 거는 탄댐설측교정으로 옥니를 방지해 치아교정을 진행했었습니다.


이후 사진을 보면 앞니의 뻐드러짐이 사라진 것을 확인할 수 있었는데요. 돌출입 증상과 무턱 증상 모두 개선해 안모 변화가 크게 변화된 것을 확인할 수 있었습니다.


파노라마 사진을 보면 더 확연히 확인할 수 있죠. 앞니의 뻐드러짐과 돌출입, 무턱을 모두 개선할 수 있는 치아교정. 수술없이도 안모 변화가 크게 개선된 것을 보면 정말이지 뿌듯합니다. 환자분의 경우 치료 종료 후 8년이 지난 파노라마 사진으로도 교정 후 잘 유지되고 있다는 것을 확인할 수 있었는데요.
본원에서는 소아 및 성인의 교정, 돌출입과 주걱턱 등 모든 부정교합 케이스를 다뤄보고 있으니 교정과 관련해 궁금한 점이 있다면 언제든 내원해 도움 받아보시기 바랍니다.
'서울가지런이교정치과' 카테고리의 다른 글
| 무턱 돌출입, 앞니 교정까지 중년에도 가능할까? (1) | 2024.09.11 |
|---|---|
| 심한덧니교정? 레버암과 미니스크류 (0) | 2024.09.03 |
| 성인의 돌출입 설측교정? 그런데 치조골 소실이 있어 (0) | 2024.08.09 |
| 한 두 가지 문제가 아니야, 복합적인 문제 치아교정으로 극복할 수 있을까? (0) | 2024.08.02 |
| 성장기인데 부정교합이 심해요? 교정 가능할까요? (1) | 2024.07.31 |

