
안녕하세요? 서울 가지런이치과 교정과 의원입니다.
오늘은 어금니 결손 및 덧니로 인해 교정을 고민하게 된 분의 후기를 가져와봤는데요.
[사랑니 세우는 교정]+[덧니교정] 을 같이 진행한 사례입니다.

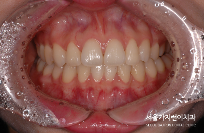
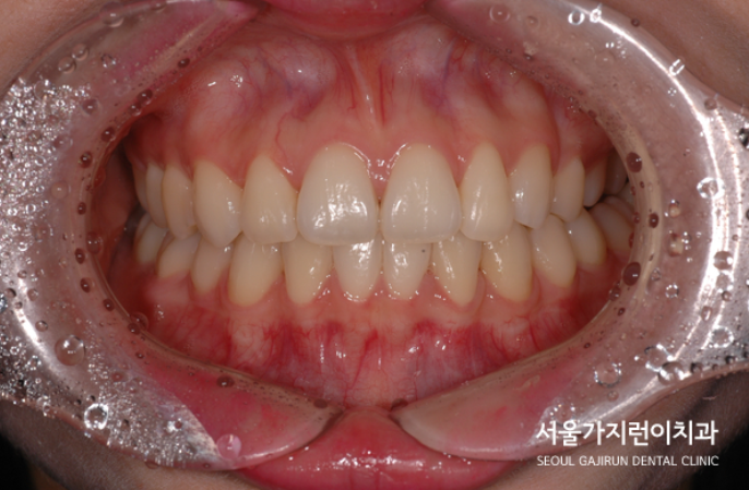
환자분의 경우 치열의 흐트러짐과 덧니로 인해 스트레스를 받고 계신 상황이었습니다.

게다가 아래 어금니의 결손까지 있었기 때문에 임플란트를 식립해야 하는 상황이었는데요.

때문에 환자분의 경우 본원에서 임플란트 대신 사랑니를 교정해 어금니로 활용할 수 있다는 소식을 듣고 방문하셨습니다.


이미 발치가 된 하악과 곧 발치가 필요한 어금니, 게다가 덧니와 더불어 흐트러진 치열까지 밸런스를 맞추기 쉽지 않은 케이스였는데요. 무엇보다 한쪽은 대구치, 한쪽은 소구치여서 발치 공간의 크기가 달라 중심선을 맞추고 정상 교합으로 맞추기가 쉽지 않은 경우였습니다. 하지만 저희는 교정전문치과잖아요. 사랑니를 세우는 교정과 더불어 덧니교정까지 진행해봤습니다.


발치된 공간은 임플란트를 식립하지 않고 공간을 폐쇄하는 쪽으로 진행했으며 하악의 경우에는 사랑니를 세워 새로운 어금니로 활용할 수 있도록 교정을 진행했는데요. 상하악 모두 발치 공간이 닫히는 모습을 과정 사진으로 확인할 수 있겠습니다.
본원에서는 MBC 스프링 교정방식으로 사랑니를 서서히 세웠는데요.


7개월 정도 지났을 때 직립된 모습을 확인할 수 있었습니다.
무슨 교정을 이렇게까지 해야 하나... 싶지만 임플란트 기술이 아무리 좋아져도 자연치아를 따라갈 수는 없는데요. 시간이 오래 걸린다하더라도 자연치아 한 개의 가치를 얻을 수 있다면 해당 교정방식을 통해 씹는 힘을 회복해보는 게 더 현명한 선택일 수 있겠습니다.

오늘은 여기까지 고난이도 교정사례를 살펴봤는데요.
혹시 나도 치아교정 가능할까? 궁금한 분들은 언제든 서울 가지런이치과 교정과 의원을 방문해주세요! 어금니 결손교정부터 임플란트 대신 사랑니교정으로 자연치아의 기능을 사용해볼 수 있겠습니다.
'서울가지런이교정치과' 카테고리의 다른 글
| 치조골 소실이 있는 성인 치아교정 가능할까? (0) | 2024.11.13 |
|---|---|
| 중년 무턱 치아교정 사례! 강남 치아교정에서 (2) | 2024.11.06 |
| 심한 무턱 돌출입도 교정 가능할까요? (1) | 2024.10.11 |
| 덧니도 있는데 돌출입이에요, 근데 무턱인데 교정 가능할까요? (1) | 2024.09.19 |
| 무턱 돌출입, 앞니 교정까지 중년에도 가능할까? (1) | 2024.09.11 |

