선천성 치아결손이 있는 사람도 치아교정 가능할까?
네, 선천성 치아결손이 있는 사람도 치아교정이 가능합니다. 오히려 조기에 교정 계획을 세우는 것이 향후 임플란트나 기능적 문제 예방에 도움이 됩니다.
선천성 치아결손은 치아가 태어날 때부터 없거나 영구치가 나오지 않는 상태를 말합니다. 이런 경우에도 교정 치료는 충분히 가능합니다.

🦷 선천성 치아결손 환자의 교정치료 방식
선천성 치아결손이 있다고 해서 교정이 불가능한 것은 아니며, 오히려 조기에 치료를 시작하면 심미성과 기능을 모두 개선할 수 있습니다. 특히 청소년기에는 교정과 임플란트 계획을 함께 세우는 것이 향후 치료 부담을 줄이는 데 도움이 됩니다.
📌 치료 시기와 주의사항
- 청소년기 교정이 가장 효과적: 성장기에는 치아 이동이 용이하고, 결손 부위에 대한 공간 조절이 수월합니다.
- 정밀 진단 필수: 치아 결손의 위치와 개수, 주변 치아 상태에 따라 치료 계획이 달라지므로 3D 스캔과 엑스레이 진단이 중요합니다.
- 전문의 상담 권장: 교정과 전문의와의 상담을 통해 장기적인 치료 계획을 세우는 것이 바람직합니다.


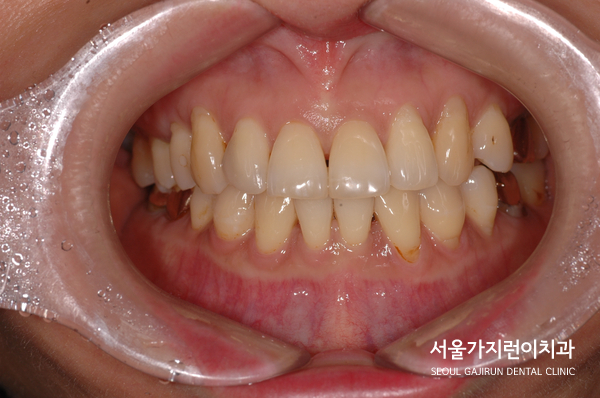
해당 환자의 경우 하악 전치 2개의 결손이 있는 케이스였습니다. 내원 당시 가장 큰 불만사항은 치아의 비뚤어짐이었는데요. 덧니 증상이 매우 심한 상태로 다소 뻐드러져 보이는 경향이 있었습니다. 선천적인 문제로 결손 상태기 때문에 쉽게 이동할 수 있지 않을까? 싶었지만,

환자분의 경우 오른쪽 상악 제2소구치의 상태가 크라운으로 박혀 있는 상태였습니다. 때문에 환자분의 경우 가능한 범위내에서 상태가 좋은 치아만 남기고 비교적 상태가 나쁜 치아를 발치해 진행하기로 플랜을 수립했습니다. 이후에는 미니스크류를 활용해 상악 구치가 전방으로 과도하게 이동하는 것을 막아주면서 치아의 배열이 가지런하게 자리 잡을 수 있도록 관리를 진행했습니다.


현재 환자분의 경우 치료를 받은지 10년이 지났음에도 고른 치열을 유지하고 계신데요. 치아의 심미성과 기능성을 종합적으로 고려해 교정계획을 세우고, 치료부터 마무리, 에프터 케어까지 꼼꼼하게 신경쓰는 곳에서 안심 치료 받아 보시기를 바랍니다.
더 자세한 치료후기는 아래 링크를 확인해보세요
선천성 치아 결손이 있는 환자의 교정치료
꽃이 눈에 들어오기 시작하면 나이가 든 거라는데... 제가 나이가 드는 모양입니다. 자꾸 꽃이 눈에 들어오...
blog.naver.com

'서울가지런이교정치과' 카테고리의 다른 글
| 개방교합 돌출입 덧니교정 케이스 균형있게 교정할 수 있어 (0) | 2025.11.20 |
|---|---|
| 강남 벌어진 앞니 성인인데 교정 가능할까? (0) | 2025.11.11 |
| 충치로 어금니를 발치할 경우 사랑니로 대체할 수 있을까? (0) | 2025.10.23 |
| 신논현 치아교정 전후 비주술 주걱턱 돌출입 거미스마일까지 (0) | 2025.10.14 |
| 에나멜 쉐이핑이 뭐죠? 법랑질 성형에 대해 알아보자 (0) | 2025.10.02 |