
서울 거미스마일 교정, 어디서 어떻게 할까?
거미스마일 증상은 웃을 때 잇몸이 유독 많이 보이는 증상을 말합니다. 잇몸이 다 드러나다의 거미와 웃다의 스마일이 합쳐진 말인데요. 과한 잇몸으로 인해 잇몸성형수술을 고민하는 경우도 있는데 보통은 돌출입 교정, 구조적인 문제가 아닌지를 체크해보십니다. 하지만 성인이 되어 수술을 하기란 쉽지 않은데요. 서울 가지런이치과 교정과 의원을 방문한다면 비수술 교정으로도 심한 거미스마일 돌출입 증상을 개선해볼 수 있겠습니다.

서울가지런이치과 교정과를 찾아준 환자 케이스
이 케이스는 1년 8개월의 치료기간이 소요된 환자분의 전후차이입니다. 많은 분들이 교정 후에 다시 원상태로 돌아가거나 더 심한 케이스로 변질되는 것은 아닐까 고민하시는데요. 해당 환자분은 교정 전후 차이와 7년 후의 모습까지 확인이 된 상태입니다. 환자분의 경우 잇몸뼈 돌출과 치아 돌출도 어느 정도 있는 경우여서 잇몸이 과도하게 보이는 스타일이었는데요.



앞으로 돌출된 치아를 집어넣으려면
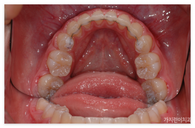
앞으로 돌출된 치아를 구조적으로 안쪽으로 집어넣기 위해서는 공간의 확보가 필요합니다. 그래서 많은 분들이 발치를 진행하는데요. 위와 같은 경우도 상하악 제1소구치를 발치한 후에 충분한 공간을 확보한 후에 진행을 하였습니다. 특히 발치가 무조건 안 좋고 비발치가 좋은 것이라고 오해하는 경우가 있는데 발치할 케이스임에도 비발치로 진행하게 되면 오히려 더 안 좋은 결과를 안아볼 수 있기 때문에 상악 전치의 후방이동을 위한 충분한 공간확보를 위한 과정이라고 이해하면 되겠습니다. 본원에서는 서울 거미스마일 교정을 위해 미니스크류를 식립해 상악 전치를 위로 올리는 힘을 추가 했습니다. 미니스크류를 이용하면 개선할 충분한 힘이 가해지기 때문에 상하악 전치가 동시에 이동할 수 있습니다.

골격적인 밸런스 맞추는 교정
서울가지런이치과 교정과 의원에서는 비수술 교정으로도 만족스런 돌출입, 거미스마일 증상을 개선해왔는데요. 무조건 수술만이 답이고 칼을 대어 잘라내는 것이 지름길이라고 아는 분들이 있지만 본원은 치아교정을 전문적으로 하는 치과인만큼 의료진의 노하우가 녹여져 있어 골격적인 밸런스를 맞추는 교정도 충분히 수술없이 진행하고 있습니다. 물론 더 다양화케이스의 환자분들을 만나 미처 글로 적지 못하는 부분도 많은데요. 만약 본인이 구강구조가 튀어나온 편이고 거미스마일 증상을 갖고 있다면 걱정말고 오래도록 안정적인 결과를 받아볼 수 있는 가지런이치과를 찾아 도움 받아보시기 바랍니다.
'서울가지런이교정치과' 카테고리의 다른 글
| 사랑니 똑바로 세우면 괜찮지 않나? 사랑니 어금니 임플란트 대신 치아교정으로 (0) | 2023.12.08 |
|---|---|
| 주걱턱 치아교정 덧니 서울가지런이치과 교정과에서 (1) | 2023.11.30 |
| 서울가지런이치과교정과 의원에서 진료 가능한 교정 케이스 (1) | 2023.11.22 |
| 강남 논현동 반포동 치아교정, 어린이 심한 케이스 비발치교정은? (0) | 2023.11.15 |
| 소아, 어린이를 위한 쉽고 편한 교정장치? 가지런이치과 의원에서 (1) | 2023.11.08 |

