주걱턱 치아교정 덧니 서울가지런이치과 교정과에서
신논현 가지런이치과 교정과 의원이 상호가 변경 되었습니다. 치아를 좀 더 가지런하게! 복잡한 치아교정도 수술 없이 가지런하게 더욱 성심성의껏 진료하기 위해 서울가지런이치과 교정과 의원으로 바꿨답니다. 아직 모르는 분들이 있을까봐 설명드립니다.

서울 가지런이치과 교정과 의원은 악조건의 주걱턱부터 돌출입, 심한 덧니까지 오직 치아교정으로만 가지런하게 만들어볼 수 있도록 진료하고 있는데요. 세계 인명 사전에 인증된 교정전문의가 대표원장님으로 계시기 때문에 학계에서 보증하는 최우수 임상의 자격 트리플 트라운을 달성한 분께 직접 1:1 책임진료를 받아볼 수 있습니다.

서울가지런이치과가 드리는 약속
본원은 다양한 치아교정 치료를 통해 서로가 이해하고 원하는 방향성을 결정해 만족스러운 결과를 위해 노력하고 있는데요. 이벤트를 통한 무분별한 진료는 치료의 질을 떨어트릴 수 있기 때문에 일일 및 월별 적정한 환자배분을 통해 충분한 대화와 공감을 형성할 수 있도록 시간을 확보하고 있습니다.
또 진료가 끝나면 사진촬영을 통해 치아와 얼굴의 변화과정을 체크하고 환자와의 공유를 통해 치료의 계획을 수정보완하고 있는데요. 정교하고 세심한 진료를 제공하기 위해 임승민 원장님의 진료와 설명을 기본으로 하는 치료를 약속드리고 있습니다.
본원은 심한 돌출입, 주걱턱, 심한 덧니, 상실된 어금니, 비발치 교정 등과 같이 치아교정만으로 치료하기 어려운 경우라고 할지라도 논문과 특허기술을 통해 축척된 노하우와 연구기술로 어려운 치아교정 케이스의 치료를 수술에 의존하지 않고 치아교정만으로 치료를 진행하고 있습니다.

서울가지런이치과 교정과 의원의 치료의 시작은?
본원은 대화를 통한 환자의 니즈를 파악하고 개인에게 맞는 치료계획을 수립해 제공하고 있습니다. 치아의 이동에는 크게 4가지의 방향이 있습니다. 치과 교정학적으로 4가지의 방향을 컨트롤하는 것은 결코 쉬운 일이 아닌데요. 치아는 눈에 보이는 부분이 전부가 아니기 때문에 이동방식에 따라 원하는 결과는 모두 다를 수 있습니다. 돌출입, 덧니, 주걱턱, 벌어진 치아의 특징과 개인의 배열특성에 따라 치아의 움직이는 방식의 차이를 두어 환자가 원하는 치아 배열과 입매의 모습을 완성할 수 있는 것이죠.


임플란트 안하는 치아교정? 사랑니 교정? 심한 주걱턱!?
치아교정 치료 전에 어금니의 손실, 손상된 치아가 있는 경우 사랑니 또는 작은 어금니 등의 빈공간 이동을 통해 임플란트를 하지 않고도 치아교정 치료로 공간을 메꿔 임플란트 치료의 부담을 덜 수 있습니다. 또 쓰러진 사랑니를 세워 임플란트 대신 치아교정으로 사랑니치아교정을 적용해볼 수도 있는데요. 위와 같은 방식은 매우 정교하고 어려운 치아의 이동을 필요로 하기 때문에 많은 경험과 노하우가 매우 중요한 치료입니다.
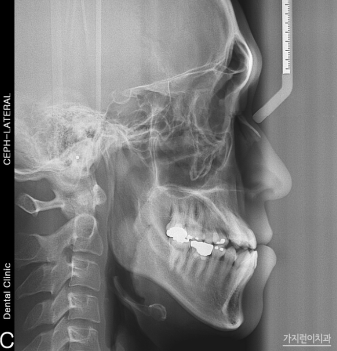
상단의 사진의 경우 주걱턱 케이스인데요. 아래턱이 유독 튀어나온 경우임에도 수술 없이 치아교정을 통해 개선한 경우입니다. 치료에 앞서 발치를 진행하는 것 만으로도 충분히 아래 턱을 집어넣을 수 있다고 판단했기 때문인데요. 결코 무리한 과정이 아닌 가능하다고 판단했기 때문에 진행했기 때문에 안정적으로 진행해볼 수 있었습니다. 효과적으로 치아를 후방이동 시키기 위해 미니 스크류를 식립한 후 교정용 고무줄을 연결했는데요. 주걱턱 양상과 덧니까지 함께 관찰이 되었다면 측면에서 관찰해도 정상교합으로 맞춰질 수 있도록 플랜을 구성해 니즈를 충족하고 있습니다. 특히 주걱턱, 덧니의 경우 이미지 변화가 큰 편인데요. 만족스런 결과를 보고 나도 해볼까? 라는 생각이 든다면 미리 상담 예약 후 방문해 도움 받아보시기 바랍니다.


'서울가지런이교정치과' 카테고리의 다른 글
| 어린 아이 부정교합 케이스별로 알아보자 (0) | 2023.12.11 |
|---|---|
| 사랑니 똑바로 세우면 괜찮지 않나? 사랑니 어금니 임플란트 대신 치아교정으로 (0) | 2023.12.08 |
| 서울 거미스마일 교정 어디서 하는 게 좋을까? (0) | 2023.11.29 |
| 서울가지런이치과교정과 의원에서 진료 가능한 교정 케이스 (1) | 2023.11.22 |
| 강남 논현동 반포동 치아교정, 어린이 심한 케이스 비발치교정은? (0) | 2023.11.15 |