거미스마일 교정
잇몸이 드러나는 거미스마일. 전문가에 따르면 위 턱뼈의 전방 부위가 수직이나 수평으로 과성장하는 골격 성장 때문에 발생하는데요. 골격성장뿐만 아니라 치아에도 원인이 있어 교정을 통해 개선해볼 수 있습니다. 웃을 때 윗 입술을 기준으로 잇몸이 3mm 이상 노출이 되면 거미스마일로 분류되고 있는데요. 원인별 치료법은 다르지만 치아나 잇몸의 돌출 때문이라면 치아와 잇몸을 안쪽으로 이동시키는 방법을 진행하게 됩니다. 따라서 원하는 부위에 미니스크류를 식립해 치아를 이동시키는 경우도 있는데요. 중요한 것은 힘의 크기와 방향의 조절입니다.




거미스마일 교정 돌출입 교정 동시에?
많은 경우 돌출입이 있으면 거미스마일을 가진 경우가 많습니다. 입을 다물 때 입매가 부자연스럽거나 심한 경우에는 치아가 제대로 맞물리지 않아 저작이 어려운 경우도 있는데요. 기능적인 문제가 생기게 된다면 단순히 미적으로 아름답지 않다고 하는 불평을 넘어 비수술 치아교정만으로도 개선방법을 찾아야 합니다. 사실 돌출입 교정의 경우 시간이 오래 걸리는 것으로 알려져 있는데요. 튀어나온 치아와 잇몸까지 서서히 안쪽으로 밀어넣는데 시간이 걸리기때문입니다.
또 돌출된 입으로 원치 않는 이미지가 있었다면 외모 콤플렉스로 스트레스를 받는 경우도 생길 수 있었는데요. 거미스마일인 경우에는 수술 없는 비수술 치아교정만으로도 가능하며 치아교정 전문의가 진료하는 곳에서 어떤 교정장치가 적합한지, 교정기간에는 얼마나 소요될지 등을 체크해볼 수 있으니 경험이 풍부한 교정전문치과를 방문해야 하겠습니다.



미니스크류란?
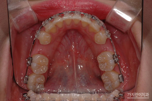
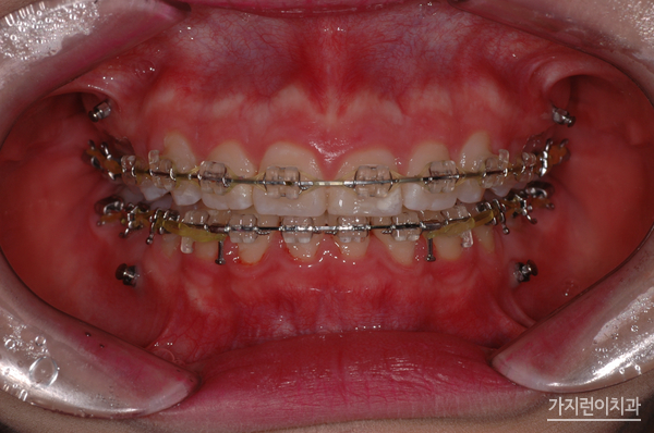
미니스크류는 인체에 해롭지 않은 나사형태로 제작된 미니 임플란트라고 보실 수 있겠습니다. 잇몸 사이 뼈에 식립해 치아를 필요한만큼 이동시키는 힘을 더하는 방식으로 치아이동을 좀 더 빠르게 도와주는 보조장치입니다. 국소마취 후 진행되기 때문에 따로 절개를 하지 않으며 출혈도 적고 통증도 적어 회복속도가 빠르다는 장점도 있습니다. 또한 잇몸이 많이 보인다거나 부분교정이 필요한는 경우 주로 사용되는데 돌출입을 해결할 때 많이 이용되고 있습니다. 이 경우 턱뼈 안에서 치아들을 뒤로 이동시키는 지지대로서의 역할을 해주기 때문에 발치교정이나 양악수술 없이도 돌출입교정에 효과적일 수 있는데요. 중요한 일정을 앞두고 있거나 직업적으로 대인관계가 중요한 서비스직종의 직장인이라면 염두해볼 수 있겠습니다.
위 환자분들의 경우 1년 8개월의 대장정 끝에 치료과정이 끝나셨습니다. 상하악의 이동을 잘 조절해 골격적인 밸런스도 마무리되셨는데요. 치아교정을 전문적으로 다루고 있는 서울가지런이치과 교정과 의원인만큼 심한 거미스마일 증상과 돌출입 증상도 무리없이 해결했답니다. 오래도록 안정된 결과를 누리고 있는 이 케이스! 걱정말고 서울가지런이치과 교정과 의원을 방문해 보시기 바랍니다.
[서울가지런이치과교정과치과의원 - 홈] 악조건의 주걱턱, 돌출입, 심한덧니를 오직 치아교정으
주걱턱, 돌출입, 심한덧니를 오직 치아교정으로 가지런이
gajirune.modoo.at
'서울가지런이교정치과' 카테고리의 다른 글
| 새해 치아건강 부정교합 확인해보세요! (1) | 2024.01.02 |
|---|---|
| 치아교정 했다면 크리스마스에 주의할 점! 읽고 가세요 🎄 (2) | 2023.12.22 |
| 어린 아이 부정교합 케이스별로 알아보자 (0) | 2023.12.11 |
| 사랑니 똑바로 세우면 괜찮지 않나? 사랑니 어금니 임플란트 대신 치아교정으로 (0) | 2023.12.08 |
| 주걱턱 치아교정 덧니 서울가지런이치과 교정과에서 (1) | 2023.11.30 |