
치아교정 가능한 경우가 따로 있을까?
안녕하세요? 서울가지런이치과 교정과 의원입니다. 오늘은 치아교정과 관련하여 재교정이 가능한지 불가능한지 여부를 확인할 수 있는 방법에 대해 포스팅해보겠습니다.
치아교정은 돌출입, 덧니, 주걱턱, 벌어진 치아로 인해 외적인 스트레스를 받는 사람들에게는 심미적인 관점에서 치아교정이 하나의 방법이 될 수 있는데요. 치아교정은 보통 2년이라는 시간이 소요되다 보니 신중에 신중을 기해 시작을 하게 됩니다. 그런데 길다면 길고 짧다면 짧은 2년의 시간 동안 치아교정을 했는데 이런저런 문제로 발생한다면 속상하지 않을 수 없겠죠. 첫 치아교정부터 제대로 교정해서 재교정이 필요하지 않으면 좋겠지만 여러 가지 이유로 재교정이 꼭 필요한 경우라면 어떤 경우가 있을까요?


재교정이 필요한 경우?
- 유지장치를 잘 안 하거나 유지장치가 떨어진 채로 방치하다가 문제가 생긴 경우
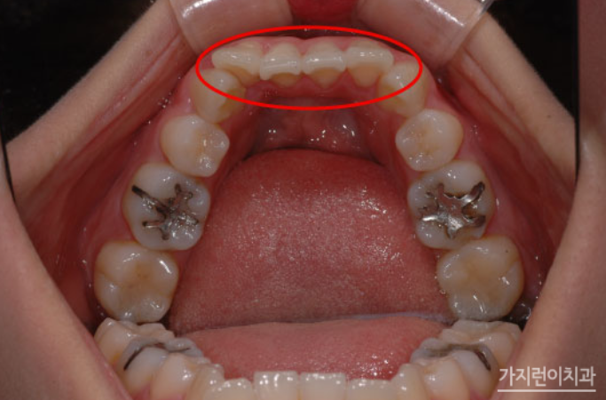
- 다시 치아가 벌어진 경우
- 교정 완료했지만 불편함이 있는 경우
- 교합은 맞으나 잇몸이 돌출된 경우
- 교정 후 결과에 만족하지 못하는 경우
- 교정 후 돌출입이 됐거나 반대로 입이 너무 들어가서 역교정을 원하는 경우
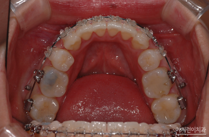
치아 재교정 난이도는 어떨까?
치아 재교정은 잇몸이나 치아 상태가 약해져 있는 상태에서 다시 시작하는 것이기 때문에, 교정을 전문으로 하는 치과를 선택하는 것이 중요한데요. 경험과 노하우가 있는 의료 인력이 있는 곳을 찾아 상태에 따른 정확한 상담과 치료 계획을 세우는 것이 필요합니다. 그래서 대부분은 치과가 많이 모여있는 밀집된 지역을 선호하시는데요. 이곳저곳 어슬렁 거리면서 나에게 맞는 교정치과를 찾기란 쉽지 않기 때문에 접근성이 편리한 치과 위주, 후기가 좋은 치과 위주로 알아보곤 하십니다.


치아 재교정 잇몸은 괜찮을까?
아무래도 나이가 들수록 잇몸이 약해질 수밖에 없는데요. 치아의 뿌리를 잡고 있는 뼈가 많이 내려가서 치아를 안전하게 잡아주는 능력이 떨어지다 보니 잇몸의 상태에 따라 재교정 가능 여부와 치료 범위를 결정되게 됩니다. 재교정 후에는 치아가 다시 틀어지지 않도록 유지장치를 잘 착용하고 정기 검진을 통해 치아와 잇몸 건강 관리를 잘 하는 것이 중요하겠죠.
무리한 재교정은, 비추 드리고 싶은데요. 현재 치아 상태와 잇몸 상태에 맞춰 완성도 높은 결과를 위해 높은 숙련도를 가지고 있는 치과교정과 전문의가 진료하는 곳인지, 첫 상담부터 사후 관리까지 꼼꼼하게 관리해 주는 곳인지 파악한 후 진행하는 게 좋습니다. 진단 후 가능한 범위내에서 안전하게 재교정해보는 게 좋겠죠?
재교정은 무리하게 진행하게 될 경우 치아가 약해져 교정을 안 하느니만 못하는 결과를 초래할 수 있으니 재교정이라는 불안감을 안고 있다면 의료진의 권고에 잘 협조해 용기를 내보는 게 좋겠습니다. 본원은 치아교정 전문치과로, 치아재교정을 포함해 사랑니를 세우는 치아교정, 직장인들이 선호하는 콤비교정, 돌출입교정, 옥니교정, 비발치교정, 비수술교정 등 다양한 교정을 진행하고 있는데요. 자연스럽게 입이 다물어지고, 이상적인 측면 페이스라인 등, 교합과 더불어 가지런한 치아배열을 만들어보고 싶다면 서울 가지런이치과 교정과 의원을 찾아 도움 받아보시기 바랍니다.
'서울가지런이교정치과' 카테고리의 다른 글
| 충치 유발하는 음식 가이드라인 보세요! 치아교정 앞두고 있다면 (3) | 2024.02.02 |
|---|---|
| 임산부 치아교정 위험할까요? 걱정이라면 (0) | 2024.01.18 |
| 치아교정에 사용되는 교정용 나사, 스크류 식립은 언제 할까? (2) | 2024.01.08 |
| 새해 치아건강 부정교합 확인해보세요! (1) | 2024.01.02 |
| 치아교정 했다면 크리스마스에 주의할 점! 읽고 가세요 🎄 (2) | 2023.12.22 |

