
치아교정과 임플란트 동시에 가능할까?
안녕하세요? 서울 가지런이치과 교정과 의원입니다. 오늘은 하악 구치 결손으로 상악 구치가 정출된 환자의 케이스를 가져와봤는데요. 하악의 어금니의 상당부분을 상실한 상태에서 치아교정과 더불어 임플란트를 진행하고자 하셨기 때문에 치아 상실을 방치하지 않게 하기 위해 꼼꼼한 플랜을 세워 진행했습니다.


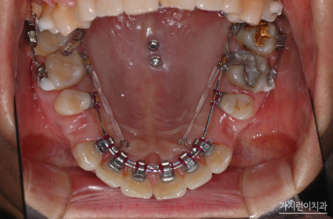
먼저 환자분의 케이스는 하악 구치부의 결손이 발견 되었고 잇몸 퇴축 현상이 일어나면서 추후 임플란트 진행이 어려울 가능성도 있어 치료를 통해 미니스크류를 이용한 치아교정과 임플란트를 동시에 진행하게 되었습니다.

미니스크류를 이용한 동시 치료?
위 사진을 보면 미니스크류를 이용해 상악 구치부의 함입을 위해 충분히 힘이 갈 수 있도록 진행을 도왔습니다. 바깥 부분의 안쪽에 미니스크류를 식립해 상악 구치부의 함입을 달성할 수 있게 했는데요. 여기에 상악 전치의 뻐드렁니를 개선하고 하악의 작은 어금니를 발치했다는 가정을 세운 후에 치료를 진행했습니다. 원래대로라면 모두 6개의 임플란트 식립이 필요한 상황이었지만 이 가정으로 치료플랜을 세웠을 때 임플란트를 4개만 심을 수 있었는데요.
뻐드렁니 교정과 임플란트 계획을 동시에 행해 구치 함입 치료를 시작한 지 5개월이 되었을 때 하악 구치부에 임플란트를 식립했으며 함입치료 7개월 째에 임시크라운을 올릴 수 있었습니다.



두 개의 와이어를 이용한 탄댐설측교정
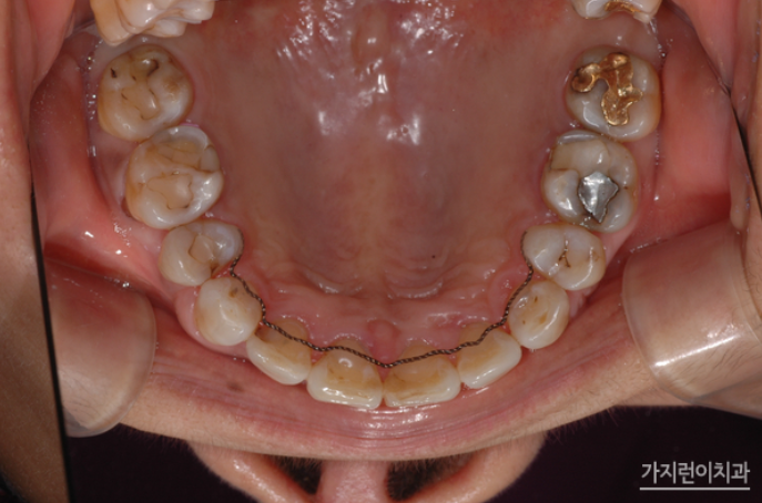
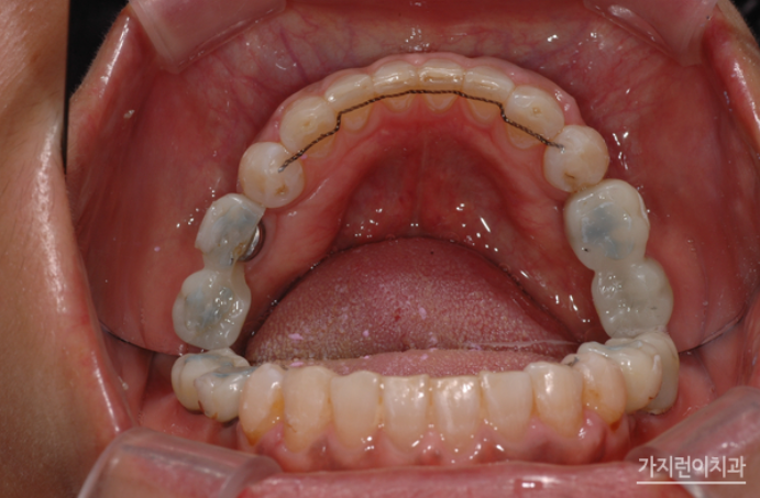
특히 본원에서는 안정적인 교정을 위해 상악 설측교정 장치는 두 개의 와이어를 사용하는 탄댐설측교정을 진행했습니다. 교정과 임플란트를 병행 했음에도 결과를 보면 안정적인 구치부 교합을 만들었다는 것을 확인할 수 있었는데요. 임플란트는 고정이 되기 때문에 교정이 아주 약간만 틀어져도 틈이 벌어지는 등의 문제가 생길 수 있습니다. 그래서 계획대로 치아이동이 잘 되어야 했었는데요. 사진을 보면 지정된 위치에 임플란트가 식립되어 조화로운 치열과 교합 상태로 완성된 것을 볼 수 있습니다.
환자 분은 교정이 끝난 후 꾸준히 정기검진을 받아보고 계신데요. 3년이 지난 날에도 교합이 안정적으로 유지된 것을 확인할 수 있었습니다.
뻐드렁니가 있으면 전형적인 입툭튀 안모를 갖고 계시지만 교정 후에는 자연스러운 페이스라인까지 연출된 것을 확인할 수 있었습니다. 평소 뻐드렁니와 더불어 구강 콤플렉스를 개선하고자 하신다면 강남에 위치한 서울가지런이치과 교정과 의원을 방문해 도움 받아보시기 바랍니다.
치아정보통
건강한 치아를 위한 이야기
lovelynal.tistory.com
신논현 가지런이치과
서초 신논현 가지런이치과 대표원장 임승민 · 02-541-5228 · 화요일 밤 9시까지 야간진료 · 설측교정/콤비교정/재교정 · (비발치, 비수술교정) · 서울 서초구 사평대로57길 54
moagood.tistory.com
'서울가지런이교정치과' 카테고리의 다른 글
| 7살 치아교정 하기 어린 나이 아닌가요? 튜브 교정이란~ (13) | 2024.06.07 |
|---|---|
| 서울에 프리올소 교정하는 곳? 성장기 아동 근골격 훈련장치란? (11) | 2024.06.04 |
| 비대칭 교정 꼭 필요할까? 비대칭의 원인은 뭘까? (0) | 2024.05.16 |
| 성장하는 아이 청소년 교정? 교정용 헤드기어를 사용하는 방법은? (0) | 2024.05.14 |
| 사랑니 어금니 교정? 이가 마침 또 빠졌다면 주목 (0) | 2024.05.13 |

