
심하게 썩어가는 어금니 그냥 뽑으면?
안녕하세요? 서울 가지런이치과 교정과 의원입니다. 오늘은 심하게 썩어 발치해야 하는 어금니를 발치하게 됐을 때 임플란트 대신 사랑니 치아교정을 통해 임플란트 대신 교정으로 빈 부분을 메꾸는 케이스를 소개해드릴텐데요. 상실한 치아가 어금니라면 임플란트가 아니라 쓰러진 사랑니로도 대체할 수 있다는 발상의 전환으로 성공적인 치아교정을 경험한 환자의 사례를 가져와봤습니다.



상악 돌출입과 발치가 필요한 상태
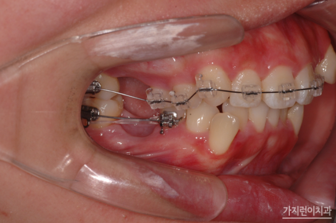
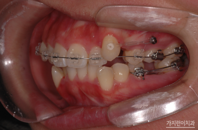
위 환자의 경우 상악 돌출입 증상과 더불어 심한 충치로 인해 발치가 불가피한 악조건을 갖고 있었는데요. 충치는 정도가 심하면 결국 발치를 하게 되고 인공치아를 식립해야 하는 과정을 밟게 되는데요. 그런데 환자의 경우 불규칙적인 치열의 재배열과 더불어 콤플렉스로 자리잡은 돌출입도 교정으로 진행해볼 수 있었습니다. Modified Bonded Cantilever Spring (MBC spring) 교정으로 사랑니에 직접 부착해 사랑니를 세우는 교정을 진행하게 되었는데요. 사랑니가 쓰러져 있는 상태라면 기존의 교정장치를 부착하기 어렵기 때문에 개발된 장치를 사용하고 있습니다. 그러면 장치를 착용한 후의 경과를 볼까요?




Modified Bonded Cantilever Spring (MBC spring)?
하지만 사랑니를 세우는 교정이라고 해서 모든 사람이 Modified Bonded Cantilever Spring (MBC spring) 교정을 사용하지는 않는데요. 환자분의 경우 하악 어금니 발치 공간을 메우는 과정에서 사랑니가 쓰러져 있긴 했지만 교정장치를 부착할 수 있는 상황이었기 때문에 추가적으로 Modified Bonded Cantilever Spring (MBC spring)을 사용하지는 않았습니다. 대신 돌출입 해결을 위해 상악을 후방으로 이동하기 위해 교정용 스크류를 이용해 진행하게 되었는데요. 총 2년 3개월의 치료기간이 소요된 환자분의 교정전후 사진을 확인해볼까요?

사랑니 세우는 교정 전후
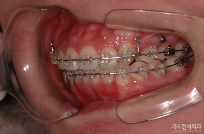
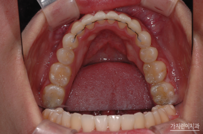
송곳니의 덧니 증상과 더불어 돌출입, 비뚠 치아배열 등 여러 문제가 많은 구강이었는데 어떤가요? 덧니의 흔적을 찾기 어려울 정도로 가지런하게 개선된 것을 확인할 수 있었는데요. 상악의 돌출감도 해소되었고 어금니 3개를 발치하게 되었는데도 티가 나지 않는 다는 걸 확인할 수 있었습니다. 그만큼 사랑니가 감쪽같이 어금니의 외형과 역할을 대신하게 된 것인데요. 충치로 치아를 발치해야 한다면 임플란트만 고집하지 마시고 본인의 구강상태에 따라 사랑니를 바로 세워 치아교정으로 임플란트 대신 치아기능을 회복해볼 수 있다는 것을 확인해볼 수 있는 사례였습니다.

임플란트 보다 좋은 자연치아
사실 임플란트 식립 기술이 많이 좋아졌기 때문에 사람들의 인식이 치아가 빠져도 임플란트로 대체하면 되지가 되었습니다. 하지만 아무리 좋은 기술력이라고 해도 자연치아를 따라갈 수는 없는데요. 사랑니 역시 쓸모 없는 치아로 버려져 있지만 사랑니 역시 자연치아기 때문에 검사 결과 채로 사용할 수 있다고 판단이 된다면 임플란트 대신 바로 세우는 치아교정을 통해 자연치아로 사용해볼 수 있겠습니다. 이렇듯 각 환자에게 맞는 교정방식을 이용하면 만족스런 결과를 확인해볼 수 있겠는데요. 사랑니를 세우는 교정, 임플란트 대신하는 치아교정, 심한 충치로 치아를 뽑아야 하는 경우가 생겼다면 서울 가지런이치과 교정과 의원을 방문해 구강 상태를 점검해보시기 바랍니다.

'서울가지런이교정치과' 카테고리의 다른 글
| 성장기인데 부정교합이 심해요? 교정 가능할까요? (1) | 2024.07.31 |
|---|---|
| 입이 다물어지지 않을 때 치아교정? 돌출입 교정 해야 할 때 (2) | 2024.07.22 |
| 중절치가 뭐예요? 아이에게 발견될 수 있는 맹출장애 교정 (0) | 2024.07.10 |
| 수술교정 편견 가지면 안 돼요! 오해와 편견 (1) | 2024.07.03 |
| 서울 강남 전치부 교차교합 주걱턱도 비수술로 교정 가능할까? (0) | 2024.07.02 |