
수술교정에 대한 편견과 오해
안녕하세요? 서울 가지런이치과 교정과 의원입니다. 오늘은 수술교정에 대한 오해와 편견에 대해 이야기를 해볼텐데요. 많은 분들이 비수술교정을 선호하십니다. 하지만 환자의 구강상태에 따라서 수술교정을 해야만 하는 경우도 있는데요. 억지를 부려 비수술교정으로 진행했다가 더 상태가 안 좋아지고 2차, 3차 재교정을 하게 될 수도 있습니다. 물론 저희 서울가지런이치과 교정과 의원에서는 수술 없이도 가능하면 비수술 교정으로 진행해볼 수 있도록 최선을 다하고 있는데요. 교정 전 꼼꼼하게 환자의 상태를 체크해 플랜을 수립하기 때문에 수술교정이든, 비수술교정이든 편견을 갖지 않은 자세가 중요하겠습니다.


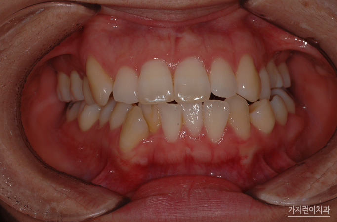
골격적인 문제가 있는 경우에는 수술교정
해당 환자의 경우 치아 문제에만 국한되어있는 게 아니라 골격적인 문제가 동반된 케이스였습니다. 때문에 안정적인 결과를 얻기 위해서 수술교정을 진행하게 되었는데요. 돌출입 양상을 보면 치아가 문제가 아닌 골격적인 문제인것을 확인해볼 수 있었습니다. 이런 케이스를 무리하게 비수술로 진행하게 되면 앞니가 들어간 옥니가 될 수 있겠는데요. 환자의 구강골격을 확인한 후에 수술교정으로 플랜을 수립해 진행한 결과 안정적인 결과를 얻을 수 있었습니다.


탄댐설측교정으로 교정을 진행한 환자 분
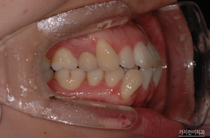
돌출입의 경우 순측으로 진행하게 될 경우 장치로 인해 교정 도중 입이 더 튀어나와보이는 양상이 생겨날 수 있었는데요. 교정 기간 동안 스트레스 받이 교정을 하기 위해 설측으로 진행하려는 분들이 많습니다. 환자분 역시 골격부분을 삭제하는 수술 후에 설측교정방식을 채택해주셨는데요. 일반적인 설측교정과 달리 특허를 받은 장치기 때문에 2개의 와이어를 사용해 안정적인 교정힘을 줄 수 있었습니다. 그렇다면 교정 후의 모습은 어떨까요?

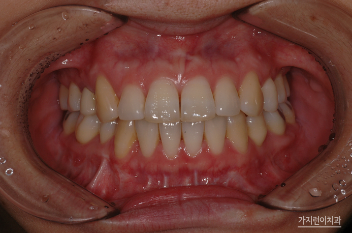
바로 이 모습입니다. 수술교정의 경우 안모변화가 큰 편인데요. 돌출되었던 입이 들어가고 턱 라인까지 정리된 모습을 얻을 수 있기 때문에 둔탁한 모습에서 날렵한 모습으로 눈에 띄게 변화한 것을 확인해볼 수 있었습니다. 여기에 가지런한 치열은 긍정적인 이미지를 불러일으키는데요. 환자의 상태에 따라서 적합한 교정방식을 선택할 수 있는 곳. 교정전문치과 서울가지런이치과 교정과 의원에서 도움 받아보는 건 어떨까요?

'서울가지런이교정치과' 카테고리의 다른 글
| 심한 충치로 발치해야 할 때? 사랑니 교정으로 임플란트 대신! (0) | 2024.07.11 |
|---|---|
| 중절치가 뭐예요? 아이에게 발견될 수 있는 맹출장애 교정 (0) | 2024.07.10 |
| 서울 강남 전치부 교차교합 주걱턱도 비수술로 교정 가능할까? (0) | 2024.07.02 |
| 티나지 않게 교정하는 방법 직장인들이 선호하는 방법 (0) | 2024.06.24 |
| 돌출입 재교정하는 이유? 옥니 때문이야 (0) | 2024.06.21 |