
안녕하세요? 성장기 돌출입 교정을 진행하고 있는 신논현 치아교정 치과입니다.
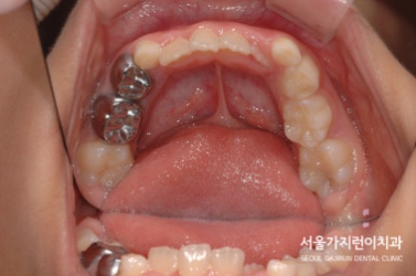
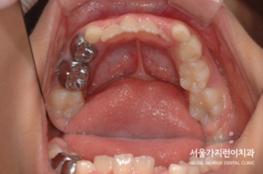
오늘은 상악의 돌출 케이스를 설명해볼텐데요. 치아의 배열 공간이 심하게 부족했던 성장기 환자의 비발치 교정이기 때문에 좀 더 까다로운 교정과정일 수밖에 없었습니다. 환자 분의 경우 상악골의 과성장과 하악골의 열성장이 종합적으로 발현된 케이스로 상악괄의 과성장을 조절하고 상악 견치 및 소구치의 맹출 공간을 확보하기 위해 상악 어금니의 후방이동이 필요했는데요. 그 과정에서 헤드기어라는 장치를 이용한 치아교정이 이루어졌습니다.




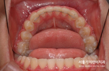
이후에는 돌출감을 해소하기 위한 미니스크류를 활용한 치아교정이 이루어졌는데요. (미니스크류는 잇몸에 박혀있는 작은 나사와 같은 장치를 말합니다. ) 미니스크류는 간단한 국소마취로도 식립이 가능하고 잇몸뼈에 직접 식립하기 때문에 강력한 고정힘으로 정밀하게 치아이동이 가능한데요. 치료를 하지 않았다면 치아의 배열이 심하게 비뚤어지고 상악 전치가 뻐드러졌을 것을 1차 성장교정(헤드기어)를 통해 만족할 수 있는 경과를 만들어냈습니다.


어린이 헤드기어는 일반적으로 7세에서 14세 사이에 가장 효과적이라고 알려져 있는데요. 이 시기는 치아와 턱의 성장 발달이 활발하기 때문에 교정 효과가 더 좋습니다. 하지만 개인의 성장 속도나 치아 상태에 따라 다를 수 있으니 정확한 상담은 치과 전문의와 상담하는 것이 중요합니다.
강남 신논현 반포역 부근의 교정전문치과를 찾고 있다면 서울가지런이치과 교정과 의원을 방문해 주시기 바랍니다. 더 자세한 헤드기어 교정 후기는 아래 블로그를 통해 확인해보세요.
성장기 돌출입 비발치로도 얼마든지 가능해요!
오늘은 상악의 돌출 케이스를 살펴볼 건데요. 특이사항이 있다면 치아의 배열 공간이 심하게 부족했던 성장...
blog.naver.com

'서울가지런이교정치과' 카테고리의 다른 글
| 상악 매복 중절치? 치아교정 가능할까 (1) | 2025.04.08 |
|---|---|
| 심한 무턱도 치아교정하면 외모 달라질까? (0) | 2025.03.17 |
| 매복사랑니 치아교정으로 살릴 수 있다고? (0) | 2025.02.18 |
| 성인 주걱턱 치아교정 나이 상관없이 가능한가요? (0) | 2025.02.10 |
| 심한 거미스마일 치아교정 수술 없이 해결할 수 있을까? (0) | 2025.02.04 |