
안녕하세요? 서울 가지런이치과 교정과 의원입니다. 오늘은 상악 매복 중절치에 대해 알아볼텐데요.
상악 매복 중절치는 상악(위턱)에서 매복된 중절치(상악의 두 번째 치아)로, 일반적으로 치아가 정상적으로 나와야 할 위치에서 자리를 잡지 못하고 잇몸 속에 갇혀 있는 상태를 말합니다. 이러한 매복은 여러 가지 원인으로 발생할 수 있으며, 치아의 성장, 공간 부족, 또는 치아의 방향이 잘못된 경우 등이 있습니다. 매복된 중절치는 통증이나 감염을 유발할 수 있으며, 경우에 따라 치과에서 발치나 교정 치료가 필요할 수 있습니다. 치료 방법은 매복의 정도와 환자의 상태에 따라 달라질 수 있습니다.


사실 상악 매복 중절치는 혼합치열기에서 많이 발견할 수 있는데요. 소아치과를 방문하는 환자분들의 4.5~9% 정도가 맹출 장애로 교정전문치과를 내원합니다. 보이지 않는 곳에서 자라고 있던 영구치 뿌리에서 기형이 생기거나 치아종이나 정중과잉치 등의 다양한 원인으로 발생하게 되는데요. 이런 매복치는 앞니의 심미성에도 문제가 되지만 치아의 정중선 변위나 낭종이 생길 수 있는 가능성도 배제할 수 없기 때문에 정확한 진단을 통해 빠른 치료를 진행해주는 게 좋습니다.

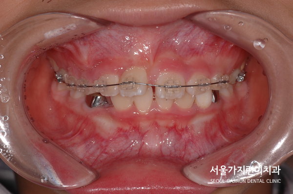
해당 환자분의 경우 8세의 남아였는데요. 앞니가 180도로 돌아간 상태로 매복된 것을 확인할 수 있었습니다. 거꾸로 숨어있던 건데요. 매복된 치아의 견인을 위해 치아에 버튼을 달고 치근 흡수를 조심하면서 아주 약한 힘으로 견인치료를 진행했습니다.



다행히 치료를 시작한 지 14개월 만에 앞니가 형태를 보이고 자리를 잡아갔는데요. 이 케이스의 경우 비교적 일찍 치아교정을 시작했다는 전제조건이 있었는데요. 매복된 치아가 잇몸뼈와 심하게 유착이 되었다면 교정력을 아무리 주어도 치아가 내려오지 않을 가능성이 있었습니다. 그렇기 때문에 상악 중절치의 매복을 비롯한 치아 맹출 장애는 치아교정전문치과에서 진료를 받아야 하는데요.

치아교정은 골든타임이 있기 때문에 문제가 있다면 바로 바로 내원해 적절한 조치를 받아보는 게 좋겠습니다.
이 외에도 더 다양한 사례들은 블로그에 기록해두었는데요. 성장기 자녀가 있다면 정기적으로 치과 검진을 받고 방사선 사진으로 치아의 맹출 및 발육 상태를 확인해 올바른 치아 발육을 위해 체크해보는 게 좋겠습니다.
상악 매복 중철치 교정 사례 궁금하다면
이웃님들 안녕하세요? 지난 5월 20일부터죠. 병원 내원 시에는 반드시 신분증을 챙겨야 합니다. 이는 국민...
blog.naver.com

'서울가지런이교정치과' 카테고리의 다른 글
| 송곳니 덧니가 심할 때 비발치로 교정 해결 가능할까? (0) | 2025.05.09 |
|---|---|
| 임플란트가 있는데 치아교정 가능할까요? (0) | 2025.04.23 |
| 심한 무턱도 치아교정하면 외모 달라질까? (0) | 2025.03.17 |
| 신논현 어린이 헤드기어 교정 몇 살까지 가능해요? (0) | 2025.03.10 |
| 매복사랑니 치아교정으로 살릴 수 있다고? (0) | 2025.02.18 |