
주걱턱, 하악 전돌증 교정 과정에서 입이 거꾸로 물린 것처럼 보이는 반대교합
사실 이런 케이스는 정말 흔하게 나타납니다. 치아배열 문제와 턱뼈 위치가 동시에 영향을 주기 때문인데요.
주걱턱과 반대교합(거꾸로 물리는 교합)의 관계는 얼굴 윤곽과 교합에 영향을 주기 때문에 턱뼈의 구조적인 문제와 치아배열의 문제를 함께 교정해주어야 합니다. 이는 성장기 습관에 의해서도 나타날 수 있는데요. 혀 내밀기, 손가락 빨기와 같은 악습관에서도 유발될 수 있어 주의가 필요합니다.


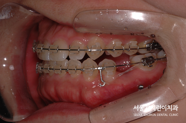
상기 환자의 경우 치아가 거꾸로 물리는 반대교합 증상을 가진 상태로 주걱턱 양상을 보이고 있었는데요.
상악앞니 절반이 가려져 있는 케이스로 아래턱이 윗턱보다 전방에 위치해 있는 것을 육안으로도 확인할 수 있었습니다.
때문에 앞니로 끊어먹기가 어려운데다 발음이 새는 등의 불편함도 있었는데요.
거기에 코로 숨쉬는 비강호흡보다 입으로 숨쉬는 구강호흡이 더 익숙해져 있었기 때문에 더욱 증상이 고착화되는 증상을 보였습니다.
환자분의 경우 저희 서울가지런이치과 교정과 치과 의원에서 발치를 동반한 공간 확보와 미니스크류 장치를 이용해 치아의 쓰러짐 없이 치아교정을 완성했는데요. 교정을 할 때 앞니의 경사를 조절하면서 입술의 돌출감을 개선했고 치아의 정상적인 교합을 위해 치아교정 플랜을 수립했습니다.


교정 후에는 입술을 힘주지 않고도 다물 수 있어서 만족하셨는데요. 심한 부정교합을 갖고 있더라도 치아발치와 악궁확장, 치간 삭제 등을 이용한 공간 확보로 치아교정을 진행해볼 수 있습니다. 물론 수술적인 교정이 필요할 수 있는 케이스도 있지만 교정치료를 전문적으로 다루는 치과에서 상담을 받아보고 또 다른 교정방법이 모색될 수 있는데요.
주걱턱와 앞니가 가려질 정도로 입이 튀어나온 케이스라면 턱뼈 구조와 함께 고려해 전문 교정치과에서 정밀진단 후 교정단독 치료인지, 수술 병행 치료가 필요한지를 체크해보는 게 좋겠습니다.

'서울가지런이교정치과' 카테고리의 다른 글
| 신논현 치아교정 | 서초동, 반포동, 논현동 교정 돌출입부터 덧니, 소아성인까지 (0) | 2026.01.14 |
|---|---|
| 심각한 덧니도 수술 없이 교정치료로 가능할까? (1) | 2026.01.05 |
| 교정했는데 안 예뻐? 에나멜 쉐이핑이란 (0) | 2025.12.11 |
| 우측 교차교합 어려운 치아교정 케이스 개선 사례 (0) | 2025.12.02 |
| 개방교합 돌출입 덧니교정 케이스 균형있게 교정할 수 있어 (0) | 2025.11.20 |