
덧니는 대체 왜 발생하는 걸까요?
심각한 덧니는 주로 턱뼈 크기와 치아 크기의 불균형과 유전적인 요인, 잘못된 구강 습관과 유치관리 문제 등 복합적인 원인으로 인해 생겨나게 되는데요. 치아가 나올 공간이 부족하거나 방향이 잘못되면 겹쳐 나와 덧니로 형성되게 됩니다.
한 두개 정도야 귀여운 매력치아로 볼 수도 있겠지만 심각한 덧니의 경우 칫솔질이 어려워 잇몸질환 위험이 증가할 수 있는데요. 교합 불균형으로 씹는 힘이 떨어지고 턱관절에 무리를 줄 수 있어 교정치료가 권유되는 편이었어요.


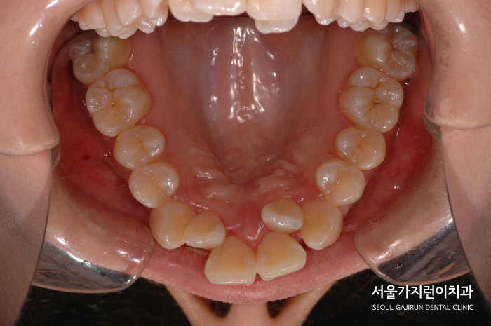
환자 분의 경우 덧니 양상이 명확히 나타난 케이스로 치아의 크기 대비 공간이 부족해 덧니화 된 경우인데요. 치아 배열이 상당히 흐트러진 경우로 정중선이 어긋나 있고 송곳니에서부터 불규칙한 교합 관계가 보여 상악 치아가 앞으로 쏠려 있는 기울어짐을 확인할 수 있었어요. 이렇게 되면 입술도 앞으로 밀려나와 돌출입처럼 보이게 되는데요. 때문에 치열을 바로 잡고 입술의 위치가 자연스럽게 뒤로 들어갈 수 있도록 돌출된 입도 교합을 찾을 필요가 있었어요.

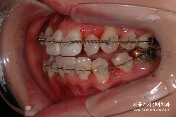
그래서 환자분의 경우 악궁이 좁아보이는 것을 확인해 발치를 진행해 공간을 확보하고 악궁을 넓히면서 자연스러운 아치 모양이 되도록 교정치료를 진행했습니다. 발치 교정을 진행했을 때는 어금니가 앞으로 끌려오지 못하도록 구개유지장치를 사용했는데요. (TPA), 발치 공간의 경우 앞니 쪽에서 제대로 닫게 하고 안정적인 교정결과를 위해 수술하지 않고도 치아이동을 이끌어냈습니다.




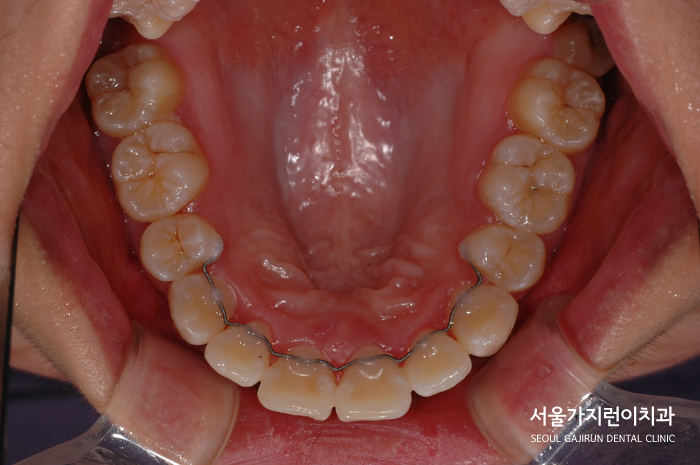
교정이 완료된 이후 모습인데요. 정중선도 맞는 모습을 볼 수 있고 좌우 교합의 균형도 잘 맞아 편측 저작 우려도 해소된 모습을 볼 수 있었어요. 무엇보다 치아의 각도가 제대로 세워지면서 교합선도 자연스러워지고 돌출감도 많이 개선이 되었는데요. 이후 환자분이 집중해줄 부분은 고정식 유지장치를 사용했기 때문에 유지장치 주변으로 치석이 쌓이지 않도록 관리해 주는 것이에요.
겉으로 볼 때 간단한 덧니문제로 보여도 치아의 각도와 뿌리 방향, 교합의 균형까지 고려해야 하기 때문에 대교정플랜이 필요할 수 있었는데요. 눈으로 봤을 때 심한 덧니여도 굳이 수술이 아니더라도 종합적으로 고려해 치료를 받아볼 수 있었어요. 때문에 교정치료를 염두할 때는 교정과 전문의가 있는 교정전문치과에서 받아보는 게 좋은데요. 치료가 끝나더라도 다시 틀어질 위험이 있기 때문에 제대로 교정을 진행하는 치과에서 상담을 받아보는 것이 좋겠습니다.
더 자세한 내용은 아래의 게시글에서 후기를 확인해보시기 바랄게요.
심각한 덧니 치료는 교정전문치과 선택이 중요!
이웃님들 안녕하세요? 드디어 2025년 마지막 날입니다. 한 해 마무리 잘 하시고, 모쪼록 2026년에는 건강한...
blog.naver.com

'서울가지런이교정치과' 카테고리의 다른 글
| 신논현 중년 돌출입 치아교정 보철치료 받은 이후에 하게 된다면? (0) | 2026.01.20 |
|---|---|
| 신논현 치아교정 | 서초동, 반포동, 논현동 교정 돌출입부터 덧니, 소아성인까지 (0) | 2026.01.14 |
| 주걱턱 치아교정인데 입이 거꾸로 물린 케이스 (0) | 2025.12.23 |
| 교정했는데 안 예뻐? 에나멜 쉐이핑이란 (0) | 2025.12.11 |
| 우측 교차교합 어려운 치아교정 케이스 개선 사례 (0) | 2025.12.02 |