
직장인이 치아교정을 결심하는 이유?!
치아를 쇼핑하는 시대가 왔습니다. 어린시절부터 울퉁불퉁한 입매를 바꾸고 싶었지만 비용이 걱정돼 쉽게 하지 못했던 분들도 직장인이 되어 오랜 소망을 현실로 이루는 경우도 있는데요. 치아교정 장치가 심미적이지 않을것이라는 생각에 망설였지만 치과 기술의 발전으로 설측교정을 이용해 심미적인 치아교정을 받아볼 수 있게 되었습니다. 특히 취업을 앞둔 취업 준비생이나 사회생활을 하고 있는 직장인들에게 치아교정은 인기가 높은데요.

설측교정vs탄댐설측교정
대표적인 심미적인 치아교정 방법으로 설측교정이 있는데요. 설측교정은 치아 안 쪽에 치아교정 장치를 부착하여 치열의 이동을 유도하는 방법으로, 겉에서 봤을 땐 거의 안 보일 정도로 심미성이 뛰어납니다. 하지만, 치아교정 초반엔 발음을 하는데 약간의 불편함을 느낄 수 있어 초반에는 적응의 과정이 필요한데요. 심미적인 치아교정 장치가 많이 개발되면서 외모에 대한 콤플렉스와 이미지를 개선하기 위해 치아교정을 시작하는 성인들이 늘어났습니다. 치아교정은 외모적인 개선 외에도 치아건강을 지켜주는 등 꼭 필요한 치료로 앞으로 더 많은 성인들이 치아교정을 위해 치과를 방문해볼 수 있겠는데요.
설측교정vs탄댐설측교정2
일부 치과에서는 설측교정을 꺼리는 분위기인데요. 환자가 원하는데도 은근히 순측교정으로 유도하곤 합니다. 이유는 설측교정이 순측교정에 비해 까다로운 시술이기 때문인데요. 설측교정 시 순측교정에 비해 치아 사이의 거리가 좁다는 단점이 있기 때문에 치아 간 거리가 좁다는 것은 각 치아에 적절한 힘이 가해지도록 조절하는 것 자체가 어렵다는 뜻이 됩니다. 즉, 치아의 3차원적인 조절이 어려워 난이도가 높다는 점에서 많이 꺼려하시죠. 하지만 서울 가지런이치과 교정과 의원에서는 설측교정의 단점을 보완한 탄댐설측교정으로 탄댐전체설측교정을 진행하고 있는데요.

교정장치 힘의 작용점!?
교정장치의 종류별로 힘의 작용점이 달라지는데 설측장치는 윗 앞니가 안쪽으로 기울어진 옹니 형태를 만들어 낼 우려가 있었는데요. 저희 서울가지런이치과 교정과의원의 임승민 원장님은 이런 생각으로 꾸준한 연구를 거듭해 오며 설측교정의 전문가 중의 전문가, 이를 뛰어 넘어 설측교정의 권위자로 통하고 있습니다. 그래서 대표 원장님은 기존의 설측교정과는 다른 보다 발전된 설측교정을 선보이고 계십니다. 바로 탄댐설측교정(Tandem archwire technique)입니다.

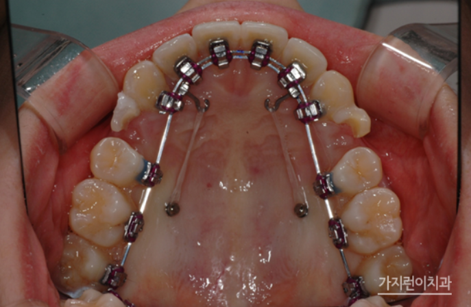
탄댐설측교정은 기존의 설측교정이 가지고 있었던 단점을 획기적으로 개선시킨 신개념 교정치료 방법이라고 생각하시면 되는데요. 치아의 안쪽면에 장치를 부착함에도 안정적인 힘 조절이 가능하도록 하였고 기존의 설측장치는 한 개의 와이어를 걸 수 있었지만 탄댐설측장치는 더블 와이어를 적용하여 치아의 비뚤어짐과 쓰러짐, 뿌리조절 등 정교한 컨트롤이 가능하다는 것이 특장점입니다.
결국 덧니와 돌출입, 비발치 교정에 있어서 기존의 설측교정보다 빠르고 탁월한 효과를 얻을 수 있는 것이죠. 실체로 탄댐설측교정 방식을 이용한 돌출입 교정도 하고 있는데요.
치아교정을 전문적으로 다루는 본원은 경험과 실력을 두루 갖춘 원장님이 직접 진료하고 있으며,교정 중간에 의료진이 교체되는 일 없이 안심하고 치료받을 수 있습니다. 또한 교정이 완료된 후 에프터 케어도 확실히 해 드리는데요. 티 나지 않는 교정, 교정전후 확실한 변화를 원하신다면 아래 배너를 참고해 보시기 바랍니다.
'서울가지런이교정치과' 카테고리의 다른 글
| 논현/강남 거미스마일 교정 가능한 곳!? 돌출입까지 (1) | 2024.02.16 |
|---|---|
| 치아 끝이 패였다? 치경부 패임, 충치치료 어떻게 해요 (0) | 2024.02.16 |
| 당뇨병 있어도 치아교정 할 수 있나요? (1) | 2024.02.07 |
| 충치 유발하는 음식 가이드라인 보세요! 치아교정 앞두고 있다면 (3) | 2024.02.02 |
| 임산부 치아교정 위험할까요? 걱정이라면 (0) | 2024.01.18 |

