
안녕하세요? 서울가지런이치과 교정과 의원입니다. :D
거미스마일을 동반한 돌출입 치아교정 치료와 관련해 가능한 교정치과를 알아보고 계셨다면 오늘 포스팅이 도움이 되시길 바라면서~
거미스마일 증상에 대해 알아볼까요?
거미스마일은 웃을 때 잇몸이 과하게 보이는 증상입니다. 잇몸을 다 드러내는이라는 뜻의 거미인데요. 통상적으로 한껏 웃을 때 잇몸이 3mm 이상 보인다면 거미스마일이라고 말하고 있습니다. 잇몸이 과도하게 보인다면 잇몸조자체 조직이 과도하게 부풀어 오른것처럼 보일 수도 있어 자칫 비호감으로 보일 수 있는데요. 치아와 구강건강을 위해서도 개선이 필요한 증상 중 하나입니다.

서울가지런이치과교정과 의원을 찾아주신 환자분의 모습인데요. 상악 돌출이 꽤나 심한 것을 볼 수 있습니다. 이런 경우에는 입술을 다무는 것이 어려운 정도였는데요. 전체적으로 치아를 후방으로 이동할 필요가 있어 돌출입 교정과 거미스마일 교정을 진행하게 되었습니다.

비수술로 거미스마일과 돌출입교정 가능하다고요?
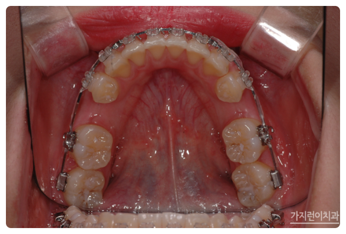
서울가지런이치과 교정과 의원, 강남에서도 거미스마일과 돌출입 치아교정이 이루어지고 있었는데요. 충분한 치아이동 공간을 확보하기 위해 상하악 1소구치를 발치한 후에 상악 잇몸뼈에 미니스크류를 식립해 효과적으로 힘을 주어 치아를 이동시켰습니다. 미니스크류를 진행하게 되면 상악 전치의 후방 이동이 일어나면서 상악 전치를 위로 합입시킬 수 있는데요. 상악이 어느 정도 이동한 것을 확인한 후에 하악에도 미니스크류를 식립해 상하악 전치를 동시에 후방으로 이동시킬 수 있었습니다.

약 1년 8개월 정도의 시간이 소요됐지만 환자분의 경우 거미스마일 교정과 더불어 돌출입 교정도 깨끗하게 진행이 되었는데요. 이처럼 교합면도 개선하고 돌출입과 잇몸이 많이 보이는 증상까지 개선해보니 안모 변화도 기대해볼 수 있었습니다.

논현/강남 거미스마일 교정 교정전문치과
이렇게 성공적으로 교정이 끝났다고 해서 무방비 상태로 지내서는 안 되는데요. 치열이 다시 흐트러지지 않으려면 꾸준히 유지장치를 착용해 주어야 합니다. 그것도 평생~~~은 아니고 의료진이 권고하는 기간만큼 착용해주시면 되는데요. #논현거미스마일교정 가능한 교정전문치과를 찾고 있다면 강남 돌출입 치아교정이 가능한 치과를 찾고 있다면 이 게시글이 도움이 됐길 바라며 이만 글 줄이 겠습니다.
자세한 내용은 아래 배너 홈페이지를 방문해 확인해보세요.
'서울가지런이교정치과' 카테고리의 다른 글
| 비발치 치아교정? 치아교정할 때 발치가 필수라고? (0) | 2024.03.07 |
|---|---|
| 교정용 왁스? 언제 쓰는 걸까요? 교정 통증 얼마나 아플까 (2) | 2024.02.28 |
| 치아 끝이 패였다? 치경부 패임, 충치치료 어떻게 해요 (0) | 2024.02.16 |
| 직장인이 치아교정을 결심하는 이유?! 설측교정이 있어 (0) | 2024.02.13 |
| 당뇨병 있어도 치아교정 할 수 있나요? (1) | 2024.02.07 |


