
비발치교정으로 거미스마일교정 가능할까?
거미스마일이라고 하면 웃을 때 잇몸이 과도하게 드러나 보이는 증상을 일컫습니다. 해당 증상이 있는 환자의 대다수는 돌출입 증상을 동반하는데요. 돌출입과 거미스마일 모두 위턱이 과성장하면서 발생하는 결과이기 때문입니다. 결국 거미스마일을 개선하려면 돌출입 개선이 같이 이루어져야 한다는 뜻입니다.


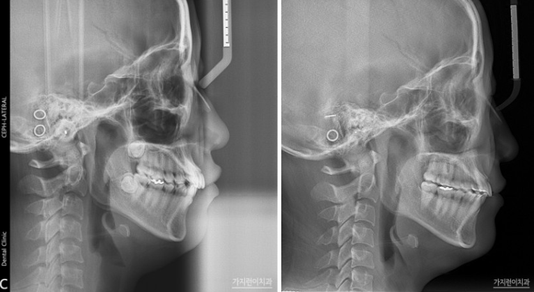
사례로 보는 교정 전후 과정
환자분의 경우 거미스마일교정과 더불어 치아의 비뚤어짐, 돌출입 개선을 원하셨습니다. 또 가급적이면 비발치로 진행해보고 싶어하셨는데요. X-ray 진단 결과, 돌출입 증상 자체는 그렇게 심한 편이 아니었습니다. 하지만 돌출감이 느껴지기는 하기 때문에 미니스크류를 이용하여 상하악 치열을 후방 이동시키는 방법으로 진행해봤습니다.


미니스크류 교정방법?
미니스크류는 지름이 약 1.6mm 정도 되는 아주 작은 나사 모양입니다. 잇몸뼈에 미니스크류를 식립하여 고정원 역할을 하는 것인데요. 교정장치와 미니스크류 사이에 교정용 고무줄이나 체인을 걸어 지렛대 원리를 이용하여 안정적으로 강한 힘을 주도록 합니다. 크기가 워낙 작기 때문에 식립과 제거가 모두 용이한 편이고, 제거 후 회복도 빨라 환자의 부담도 적은 편입니다. 상악의 돌출이 조금 더 심했기 때문에 입 천장에도 미니 스크류를 식립하여 후방 이동이 원활하게 이루어질 수 있도록 했습니다.

이렇게 진행한 교정은 과연 얼마나 걸렸을까요? 교정은 22년 8월에 시작하여 20개월 후인 24년 4월에 마무리되었습니다. 거미스마일교정이 말끔히 개선된 것을 확인할 수 있었는데요. 상하악 치열이 후방으로 이동했다는 것을 알 수있습니다. 환자가 원하는 개선 부위를 환자의 니즈에 맞춰 개선했기 때문에 만족도도 매우 높았는데요.
서울가지런이치과 교정과 의원에서는 전형적인 교정 방식 외에도 환자와의 상담을 통해 최대한 환자의 니즈를 반영하여 교정계획을 세우고 있으니 교정을 앞두고 고민이 있다면 방문하여 상담을 받아 볼 수 있겠습니다.
수많은 환자 케이스를 다루어 온 경험에서 비롯된 노하우와 교정에 대한 끊임엄는 공부와 연구, 의료기술의 노련미가 더해져 만드는 결과. 서울 가지런이치과 교정과 의원에 오시면 이러한 기대의 주인공이 되실 수 있습니다!
[서울가지런이치과교정과치과의원 - 홈] 악조건의 주걱턱, 돌출입, 심한덧니를 오직 치아교정으
주걱턱, 돌출입, 심한덧니를 오직 치아교정으로 가지런이
gajirune.modoo.at

'서울가지런이교정치과' 카테고리의 다른 글
| 성장하는 아이 청소년 교정? 교정용 헤드기어를 사용하는 방법은? (0) | 2024.05.14 |
|---|---|
| 사랑니 어금니 교정? 이가 마침 또 빠졌다면 주목 (0) | 2024.05.13 |
| 튜브교정? 투명교정? 차세대 교정에 대해 알아봐요 (0) | 2024.05.02 |
| 어린 치아, 유치 막 뽑으면 안 된다고? (1) | 2024.04.19 |
| 성인 입툭튀 수술없이 교정 가능할까? (0) | 2024.04.16 |