
성인 입툭튀? 돌출입 알아보자
오늘은 입툭튀, 돌출입에 대해 이야기해보겠습니다.
돌출입은 크게 두 종류로 나눌 수 있어요. 치아가 뻐드러져 있어 돌출입으로 보이는 상태와 치아의 각도는 정상이지만
치아가 뿌리까지 전체적으로 전방으로 나와 있는 상태입니다.
이 경우에는 치아의 머리뿐만 아니라 뿌리 부분까지 전체적으로 움직어야 하기 때문에 상당한 힘을 필요로 하게 됩니다.
만약 이때 적절한 힘을 주지 못한다면 앞니가 옥니가 될 가능성이 큽니다. 물론 이 두 종류가 한꺼번에 나타나는 경우도 있습니다. 이 판단은 온전히 의료진의 몫이니 교정과전문의의 의견에 귀를 기울이시면 적절한 방법으로 교정을 받을 수 있습니다.

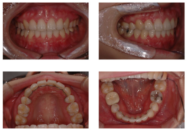
미니스크류를 이용해 돌출입을 치료해본 사례
환자 분의 케이스는 돌출입이 심해 입이 다물어지지 않는 경우였는데요.
미니스크류를 통해 후방으로 끄는 힘의 작용점 역할을 하여 악궁 전체를 후방으로는 밀어줄 수 있었습니다.
치아의 뿌리가 상당 부분 전방으로 나와있어도 교정만으로 후방으로 넣을 수 있었던 것이죠.
특히 환자분의 경우 티나지 않는 교정, 순측교정 방식으로 진행을 하였는데요.
미니스크류를 사용해 수술도 하지 않고 상하악 양쪽에서 한 개 씩 치아를 발치해 이동 공간을 마련해 진행이 되었습니다.
이후 환자분의 경과 상태는 불규칙했던 치열도 가지런하게 맞추고
돌출된 입툭튀 부분도 후방으로 잘 당겨주어 안모 변화도 기대해볼 수 있는데요.

치아 뿌리를 후방으로 당기는 교정은 뻐드러진 치아만 밀어 넣는 것보다는 긴 치료 기간을 필요로 합니다.
치아가 뻐드러진 돌출입의 경우는 2년 정도의 치료 기간이 필요하지만 뿌리까지 당겨야 하는 돌출입은 2년 반에서 길게는 3년까지 소요될 수 있다는 점 알고 계셨으면 좋겠어요.
돌출입, 입툭튀 교정은 1년 정도 교정장치를 통해 빠른 교정을 도모하는 경우도 있지만 그렇지 못한 경우도 있을 수 있는데요. 효과적인 돌출입 교정을 위해서는 교정치료 전 엑스레이 촬영, 구강 검진 등의 정밀검사를 진행하고 3D 시뮬레이션을 통해 교정 진행 과정을 예측해 맞춤 교정 계획을 세워 진행해보는 것이 좋습니다. 숙련된 전문의의 충분한 상담을 통해 치료기간과 비용, 방법 등에 대해 의논한 후 적합한 교정장치로 치료를 진행하는 것이 좋겠습니다.
돌출입, 입툭튀 교정치과를 선택할 때는 저렴한 가격, 비용보다는 의료진의 숙련도와 정밀검사 시스템, 치료 후 유지관리여부를 살펴보는 게 좋겠습니다.
'서울가지런이교정치과' 카테고리의 다른 글
| 튜브교정? 투명교정? 차세대 교정에 대해 알아봐요 (0) | 2024.05.02 |
|---|---|
| 어린 치아, 유치 막 뽑으면 안 된다고? (1) | 2024.04.19 |
| 잇몸에 나사를 박는 치아교정? 돌출입 특허교정이란 (0) | 2024.04.08 |
| 사랑니 똑바로 세울 수 있어요? 사랑니 교정방법 전후 (0) | 2024.04.04 |
| 덧니가 송곳니? 덧니가 생기는 이유 (1) | 2024.03.14 |

