
안녕하세요? 서울 가지런이치과 교정과 의원입니다. 12월은 연말이기 때문에 모임자리가 무척 많은데요. 치아건강을 해칠 수 있는 요소들이 많기 때문에 건강에 주의해주셔야 합니다. 식사 후 양치질이 어렵다면 물로 입 안을 가볍게 헹구는 것도 건강에는 도움이 될 수 있어요. 구강 내부가 건조해지기 쉬운 시기기 때문에 충분히 물을 섭취해서 구강건조를 예방해보는 게 좋겠습니다.

오늘 소개해드릴 사례는 30대 돌출입 환자 분의 케이스입니다. 상하악 전치 전방으로 뻐드러져 입술이 나온 경우가 있는데요. 뻐드러짐 없이 상악골이 하악골보다 전방에 위치해 있는 경우, 윗입술 인중이 짧은 경우가 있습니다. 두 번째 사례의 경우 교정치료만으로는 어렵고 돌출입 수술이 동반되어야 하는데요. 오늘 소개해드릴 사례도 바로 두 번째에 해당되는 케이스입니다.


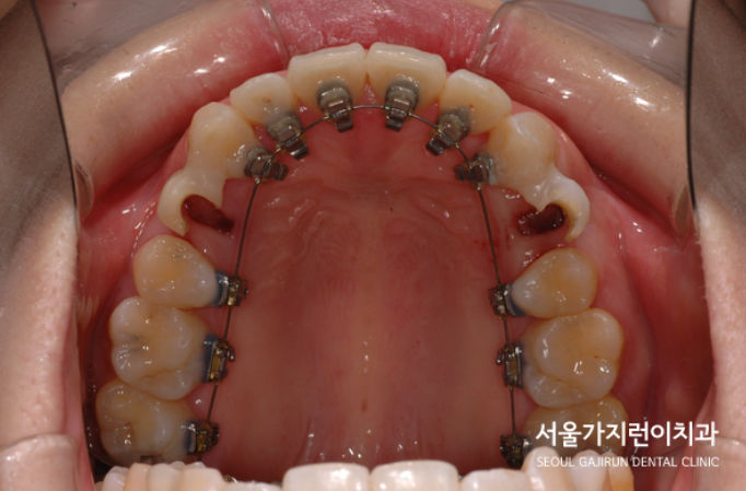
환자분의 경우 돌출입 증상이 있지만 치아의 뻐드러짐은 없었는데요. 치조골만 돌출된 케이스로 티 나지 않게 투명교정 혹은 설측교정으로 치아교정을 원하셨습니다. 하지만 투명교정과 설측교정으로 했을때 치료기간도 길어지고 치료결과도 나쁘다는 후기가 많아 걱정을 많이 하셨다는데요. 저희 서울가지런이치과 교정과 의원을 방문한 후에 상악 전치의 치관과 치근이 거의 같은 비율로 후방이동해야 한다는 것을 확인하고 교정 플랜을 수립할 수 있었습니다.


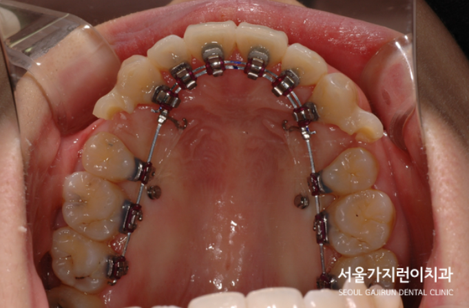
환자분의 경우 투명교정으로도 돌출입 교정이 가능했지만 상대적으로 치료기간이 길어질 것이 예상되어 설측교정을 선택하셨는데요. 서울가지런이치과 교정과 의원의 특화된 탄댐 아치 와이어 테크닉 방법을 이용해 상악 전치의 치근과 치관을 같은 비율로 후방이동시킬 수 있었습니다. 치료과정에서 돌출감 해소를 위해 상하악 제1소구치를 발치 했는데요. 발치간 공간을 폐쇄하기 위해 미니스크류도 식립하여 진행했습니다.


발치 공간이 메꿔지면서 입술이 들어가는 것을 확인할 수 있었는데요. 환자분의 경우 턱끝에 호두껍질 모양의 주름이 생기지 않길 희망하셨기 때문에 미니스크류를 식립한 후에 교정용 고무줄을 연결해 안정적으로 힘이 가해지도록 진행했습니다. 총 소요된 치아교정기간은 약 1년 6개월 정도인데요. 교정 치료 후 사진을 보면 옥니 느낌 없이 윗 입술이 들어간 것도 확인할 수 있었습니다.
본원은 교정전문치과로서 성장기를 벗어난 30대 치아교정 환자분들도 많이 방문해주고 계신데요. 환자의 니즈를 충족할 수 있도록 교정플랜을 수립해드리고 있습니다. 타 치과에서 수술만 답이라고 말씀을 들었다하더라도 본원을 방문해 다른 방법은 없는지 마지막으로라도 체크해 보시기 바랄게요.

'서울가지런이교정치과' 카테고리의 다른 글
| 신논현 교정치과 소아, 어린이 교정? 청소년 돌출입까지 (0) | 2025.01.11 |
|---|---|
| 비수술 주걱턱 교정 수술 없이도 괜찮을까요? (0) | 2025.01.06 |
| 사랑니 과잉치? 어금니로 대체할 수 있는 치아교정 (1) | 2024.11.20 |
| 치조골 소실이 있는 성인 치아교정 가능할까? (0) | 2024.11.13 |
| 중년 무턱 치아교정 사례! 강남 치아교정에서 (2) | 2024.11.06 |