
안녕하세요? 서울 가지런이치과 교정과 의원입니다. 오늘은 비수술 주걱턱 교정 사례를 가져와봤습니다.
비수술 주걱턱 교정 환자 케이스의 경우 수술이 필요한 경우가 상당히 많았는데요.
치아의 기본적인 기능인 저작능력, 그러니까 씹는 게 쉽지 않은 경우가 많아 외모적 문제뿐만 아니라 기능적으로 소화능력이 떨어지는 경우가 많아 치아교정 치료가 시급한 경우가 많습니다.


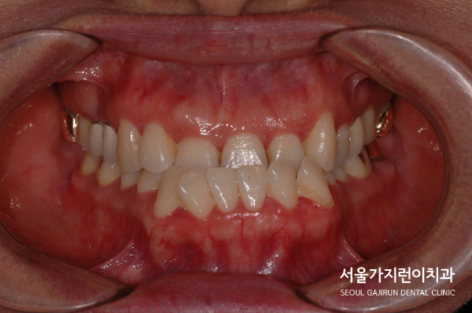
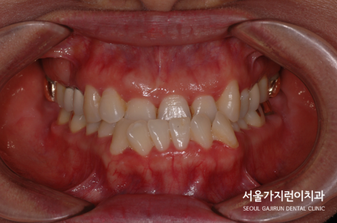
환자분의 경우 주걱턱교정이 시급한 경우였는데요. 주걱턱으로 인해 퉁명스러워 보이는 이미지를 갖고 있어서 외모적으로도 상당한 고민을 갖고 있었던 사례였습니다. 특히 하악골이 왼쪽으로 치우쳐진 비대칭도 있었기 때문에 교합 상태가 좋지 않았는데요.

다른 치과에서 진단을 받아보고 양악수술을 권유 받았지만 환자 본인이 거부하고 교정만으로 개선해보고자 저희 치과를 찾아주셨습니다.

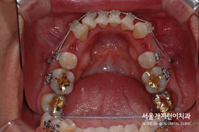
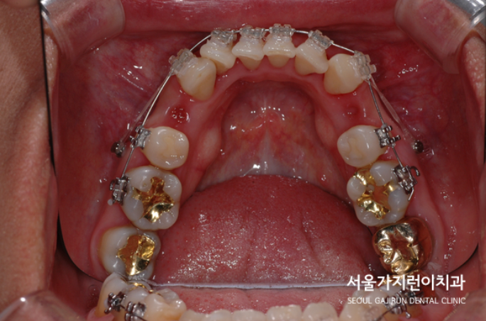
그래서 서울가지런이치과 교정과 의원에서는 치아를 발치한 후에 상하악 치아배열을 바로 잡기로 했는데요. 어금니 교합을 정상으로 만들기 위해서는 상당히 많은 치아 이동이 필요한 상태였습니다. 치아이동에 사용된 장치로는 전방 이동을 위한 미니스크류와 레버암이 있는데요. 치아를 이동시키면서 다른 치아가 움직이지 않도록 지지대 역할도 하면서 충분한 이동에 도움이 될 수 있도록 레버암까지 동원해 힘의 작용방향과 크기를 조절하였습니다.


주걱턱도 개선해야 했지만 정상교합으로 돌려놓기가 쉽지 않았는데요. 환자분의 경우 치료 1년 후 안정적으로 교정치료를 마쳤으며 6년이 지난 지금까지 안정적인 상태를 유지하고 있었습니다. 이 사진을 보면 교정이 잘 이루어져 재발하지 않았다는 것을 확인할 수 있는데요.

양악수술을 권고받을만큼 심각한 케이스였지만 주걱턱 치아교정을 통해 문제를 개선해낸 것은 오로지 풍부한 교정치료의 실력으로 이뤄낸 결과였습니다. 따라서 만약 치아교정 대신 수술을 고려할 상황이라면 저희 본원을 찾아 최후의 수단까지 확인해보는 것은 어떨까요? 본원은 교정전문치과로 가급적 환자의 니즈에 맞춰 치료플랜을 수립해드리고 있는데요. 합당한 치료를 위해 노력하고 있으니 만족스런 결과를 찾아 내원해 보시기 바랍니다.
'서울가지런이교정치과' 카테고리의 다른 글
| 논현동 치아교정 간단한 앞니 교정도 가능할까? (0) | 2025.01.12 |
|---|---|
| 신논현 교정치과 소아, 어린이 교정? 청소년 돌출입까지 (0) | 2025.01.11 |
| 30대에도 돌출입 교정 가능하다고? 설측교정 사례 (1) | 2024.12.05 |
| 사랑니 과잉치? 어금니로 대체할 수 있는 치아교정 (1) | 2024.11.20 |
| 치조골 소실이 있는 성인 치아교정 가능할까? (0) | 2024.11.13 |

