
안녕하세요? 오늘은 돌출입 설측교정 케이스를 소개해볼까 합니다.
먼저 오늘의 포인트는 "치조골 소실"인데요.
치조골 소실이란, 잇몸뼈가 흡수 되었다는 이야기입니다.
치조골이라는 표현은 임플란트를 할 때 많이들 듣게 되는데요.
치아교정에도 이 잇몸뼈는 매우 중요한 부분이라고 할 수 있겠습니다.
치조골이 소실이 되면 발치 후에 빈 공간을 없애는 과정에서
주변 치아가 발치한 공간으로 쉽게 쓰러지게 되는데요.
환자 분의 경우 일반 치과에서 치조골 소실로 인한 문제로
교정치료가 불가능하다는 진단을 받고
저희 치과로 오셨습니다.


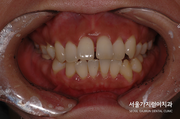
위 사진을 보면 윗니의 틈이 눈에 띄게 보였고
뻐드러진 증상도 심한 편이라 돌출입 치아교정을 바라셨는데요.
여기에 무턱 성향도 있어 입을 다물게 되면 퉁명스런 표정으로 보일 수 있어
외모적인 스트레스로 상당하셨다고 하셨습니다.
원래는 가까운 일반치과에 가서 상담을 받아보셨는데
교정치료가 불가능하다는 소견을 받고 최후의 방법으로
교정전문치과를 방문해주신건데요.
연령대에 비해 전반적으로 치조골 소실이 심한 상태였기 때문에
치조골의 염증을 잘 조절해 치와교정을 진행해보기로 했습니다.


환자 분의 경우 미니스크류를 이용한 설측교정을 진행하셨는데요.
상하악 모두 설측으로 교정장치를 부착한 후
미니스크류로 치아를 당겨왔습니다.
충분한 힘을 확보해 상악 전치를 후방으로 이동시킬 플랜을 세웠죠.
이후 교정치료를 해나가면서 발치 공간들을 닫아주고
돌출되어있는 치아들을 후방으로 이동시켜 정상교합으로 이동해갔습니다.


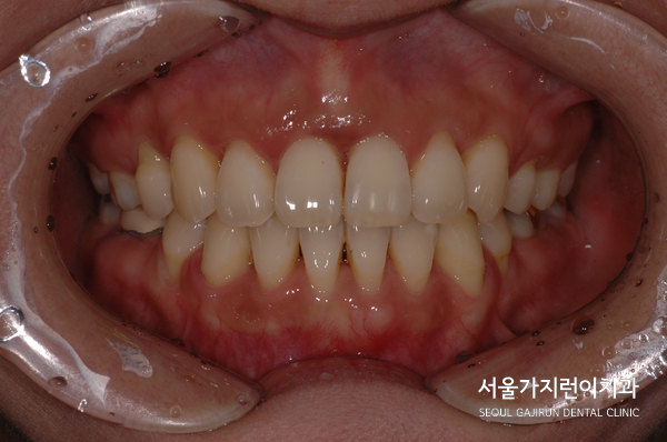
치아교정이 끝난 후 모습입니다. 벌어진 앞니는 틈없이 가지런하게 교정되었고
상악의 뻐드러짐도 제자리를 찾은 것을 확인할 수 있었습니다.
어렵다고 안 된다고 거절 당했던 치아교정.
결국 설측교정으로 치아교정을 마칠 수 있었는데요.
뼈가 소실되어 치아의 안정성이 떨어지면 치아교정이 어려운 것은 사실입니다.
하지만 치조골을 회복시키기 위한 치료를 진행하면서 교정치료를 시행해볼 수도 있는데요.
만약 치료가 어려워 포기하고자 하신다면 치과 전문의와 상담해
적절한 치료계획을 세워볼 수 있는 곳을 찾아보는 게 좋겠습니다.
더 자세한 치료후기를 아래의 블로그에서 확인해보세요
치조골 소실 있는 중년 환자의 돌출입교정
이웃님들 안녕하세요? 출근길에 보니 한 초등학교 담벼락에 '스승의 은혜, 감사합니다!'라는 문...
blog.naver.com

'서울가지런이교정치과' 카테고리의 다른 글
| 거미스마일 심한 사람 치아교정으로 될까? (1) | 2025.06.11 |
|---|---|
| 강남 | 임플란트 있는데 치아교정? 서초구에서 알아보세요 (1) | 2025.05.19 |
| 송곳니 덧니가 심할 때 비발치로 교정 해결 가능할까? (0) | 2025.05.09 |
| 임플란트가 있는데 치아교정 가능할까요? (0) | 2025.04.23 |
| 상악 매복 중절치? 치아교정 가능할까 (1) | 2025.04.08 |