
거미스마일이란, 웃을 때 잇몸이 많이 보이는 증상을 말합니다. 치아 배열이 불균형하거나 치조골에 문제가 있다면 치아교정을 통해 거미스마일을 완화할 수 있는데요. 생각보다 골격적인 문제로 인해 수술로 해결하는 경우도 많습니다. 그렇기 때문에 거미스마일 치아교정 문의 후 낙담하는 분들도 많았는데요.오늘은 본원에서 심한 거미스마일로 스트레스 받았던 환자분의 사례를 가져와봤습니다.

위 사진은 거미스마일과 돌출입 교정 전 측면 사진입니다. 이 케이스의 경우 약 1년 8개월 정도의 치료기간이 소요되었는데요. 치료가 끝난 후 7년이 지난 시점에도 개선된 상태를 안정적으로 유지해오는 걸 확인해볼 수 있었습니다.


물론 치아교정이 끝난 후에도 꾸준히 검진을 받아주셨는데요. 많은 분들이 교정 후에 치아의 회귀성 때문에 치아교정 전으로 돌아가는 게 아닐까 걱정하시지만 정기적으로 체크를 하게 된다면 안정적으로 유지될 수 있으니 꼭 끝났다고 방심하지 마시고 교정이 끝난 이후까지 고려해 교정전문치과를 방문해보는 게 좋겠습니다.
자, 그렇다면 이 환자의 교정 과정을 살펴볼게요.

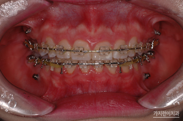
환자 분의 거미스마일과 돌출입 증상은 위 사진과 같았습니다. 치아 돌출은 물론이고 잇몸이 과도하게 나타나는 증상 때문에 스트레스를 상당히 많이 받으셨는데요. 앞으로 나온 부분을 뒤로 집어넣기 위해 상하악 양쪽의 어금니를 발치하였고

미니스크류를 식립해 상악 전치의 후방과 함입 시키는 과정을 진행했습니다. 여기서 말하는 함입과정은 상악 전치를 위로 들어올리는 과정을 말하는데요. 충분한 힘을 주기 위해 미니스크류를 식립했으며

하악에도 미니스크류를 식립해 상하악 전치가 동시에 후방으로 들어갈 수 있도록 조치를 취했습니다. 이런 교정의 과정 끝에 1년 8개월이라는 시간이 소요 되었는데요. 하지만 수술적인 방법 없이 교정만으로도 돌출입교정과 거미스마일 치아교정을 성공적으로 마쳤기에 환자분의 만족도가 높았던 과정이었습니다.
치아교정은 골격적인 밸런스가 잘 맞아야 하는 치료과정인데요. 비수술적인 방법으로도 언제든지 안정적인 결과를 얻어볼 수 있으니 지레 짐작해 포기하기보다는 교정전문치과를 방문해 방법을 모색해보는 걸 권유드립니다.
심한 거미스마일과 돌출입 교정 전후
외모가 곧 스펙이 되는 시대를 살고 있다 보니 외모를 가꾸려는 노력은 남녀노소를 불문하고 끊이질 않습니...
blog.naver.com
해당 교정 사례는 위 블로그에서 더 상세히 확인해볼 수 있으니 참고해 보세요.

'서울가지런이교정치과' 카테고리의 다른 글
| 송곳니가 심한 덧니로 났을 때 어떻게 극복할 수 있을까? (2) | 2025.07.04 |
|---|---|
| 주걱턱 돌출입재교정 중등도 난이도 케이스 '악궁확장 장치' 없이? (6) | 2025.06.24 |
| 강남 | 임플란트 있는데 치아교정? 서초구에서 알아보세요 (1) | 2025.05.19 |
| 치조골이 소실되면 치아교정 못하나요? 중년 돌출입 교정 (2) | 2025.05.14 |
| 송곳니 덧니가 심할 때 비발치로 교정 해결 가능할까? (0) | 2025.05.09 |