
치아가 많이 결손된 환자분도 치아교정이 가능할까요? 오늘 소개해 드릴 케이스는 다수의 치아 결손이 있는 분이었습니다. 하지만 사랑니가 있었기 때문에 임플란트를 하는 대신 치아교정을 통해 씹는 힘을 회복하는 것은 물론 사랑니를 치아로 올바르게 쓰이게 할 수 있었습니다.


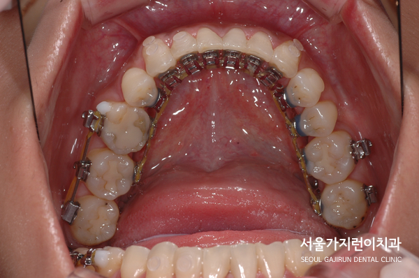
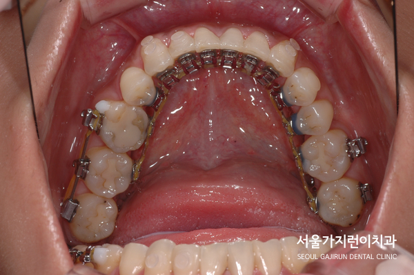
환자분의 경우에는 대구치가 손실된 것을 사진처럼 볼 수 있었는데요. 네 곳의 발치 공간을 임플란트 없이 닫는 것을 희망하고 계셨습니다. 여기에 입을 다물었을 때 아랫입술이 나와보이는 주걱턱 성향을 갖고 있어 앞니가 거꾸로 물리는 듯한 모습도 발견할 수 있었는데요.
사랑니를 어금니로 사용하는 방안과 설측교정을 통해 치아 부분교정을 진행하고 싶었지만 다른 치과에서 불가능하다는 진단을 받았다고 합니다.


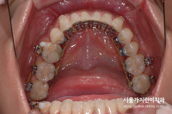
그래서 본원에서는 환자의 상태를 확인한 후에 사랑니를 어금니도 대체하는 치아교정을 진행했었는데요. 환자분께는 레버암과 미니스크류를 동시에 사용해 어금니가 쓰러지지 않고 전방으로 이동하면서 사랑니를 끌어다 사용할 수 있도록 치아교정 계획을 수립했었습니다.


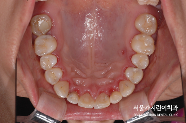
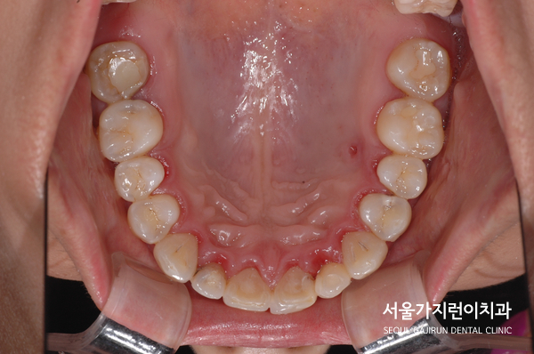
결국 환자분이 원하는 것처럼 설측교정방식을 이용한 치아교정을 진행했으며 공간의 폐쇄와 더불어 사랑니를 세워 어금니로 활용할 수 있게 만들었는데요. 교정을 마친 후를 보면 정상교합으로 달성된 것을 확인할 수 있으며 발치로 인한 공간을 잘 폐쇄하였습니다. 여기에 주걱턱 느낌도 교정을 마쳤는데요. 모든 케이스에 적용가능한 것은 아니지만 상기 환자와 비슷한 사랑니 치아교정이 고민된다면 교정전문치과 서울가지런이치과 교정과 의원을 방문해보시기 바랍니다.
더 자세한 케이스 후기는 아래 블로그를 통해 확인해보세요.
다수 치아결손 환자의 사랑니 살리는 비수술 설측교정
이번 주는 한층 포근해진 날씨인 것 같습니다. 2월이 막바지인 만큼 추위도 물러가는 것이겠죠? ㅎㅎ 모쪼...
blog.naver.com

'서울가지런이교정치과' 카테고리의 다른 글
| 에나멜 쉐이핑이 뭐죠? 법랑질 성형에 대해 알아보자 (0) | 2025.10.02 |
|---|---|
| 덧니인데 입이 나오기까지 콤비교정으로 해결하기 (0) | 2025.09.22 |
| 법랑질 성형 치아 길이 교정으로 가능할까 (0) | 2025.09.09 |
| 신논현 덧니 돌출입 복합증상 치아교정 어떻게 극복할까 (1) | 2025.09.03 |
| 신논현 어린이교정 전 소아진료 받으면 좋은 것들 (2) | 2025.08.18 |