
덧니인데 돌출입증상까지 있어 치아교정이 필요한 환자분의 사례를 가져와봤습니다.



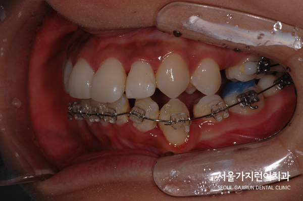
환자분의 경우 상악앞니가 많이 돌출된 케이스에 하악 앞니가 안쪽으로 기울어져 있는 상태였는데요. 전체적으로 치열이 많이 비뚤어져 있었기 때문에 앞니로 음식을 끊어먹는 것에 어려움을 겪고 계셨습니다. 특히 입을 다물려 해도 앞니의 돌출감 때문에 잘 다물어지지 않았고 중심선도 맞지 않아 여러 불편함을 안고 계셨는데요.

상악앞니의 돌출감이 심했기 때문에 상악의 경우 설측교정장치를 이용하고 하악의 경우 순측으로 진행하는 콤비교정을 진행했습니다. 돌출입 교정시에 이미 튀어나온 입에 튀어나오는 장치를 착용할 경우 교정기간 내내 입이 더 튀어나와보이는 증상으로 스트레스를 호소할 수 있었는데요. 이렇게 설측으로 진행하고 콤비교정으로 진행하면 합리적으로 치아교정을 마무리할 수 있습니다.

환자분의 경우 충분한 치아이동 공간이 필요했기 때문에 상하악 발치를 모두 진행하였으며 씹는 면을 맞게 조정하고 발치공간을 닫아나가는 시간이 필요했는데요. 2년 정도 소요된 이후에 돌출감이 사라지고 치아들이 제 자리를 찾아간 것을 확인할 수 있었습니다.

환자분이 진행한 치아교정은 설측탄댐교정방식이었는데요. 치아의 쓰러짐 없이 안정적으로 자리를 찾았고 미니스크류를 더해 정교한 컨트롤이 진행되었습니다. 사진을 보면 중심선도 맞고 뻐드러진 돌출감도 많이 해소되었는데요. 전체적인 치열이 잘 정돈된 것을 확인할 수 있었습니다.

자연스럽게 미소를 띄는 환자분! 돌출감이 심한 덧니 치아교정도 콤비교정, 설측교정으로 개선 가능하니 더 자세한 과정은 아래의 블로그를 통해 확인해보시기 바랍니다. 환자의 정밀한 상태 분석을 통해 교정노하우를 더하면 재발 걱정없이 치아교정을 마무리할 수 있겠습니다.
돌출입과 덧니 콤비교정으로 개선하자!
이웃님들 주말 잘 보내셨나요? 저는 지방에 갈 일이 있어 주말 내내 운전을 했더니 너무너무 피곤하더라고...
blog.naver.com

'서울가지런이교정치과' 카테고리의 다른 글
| 신논현 치아교정 전후 비주술 주걱턱 돌출입 거미스마일까지 (0) | 2025.10.14 |
|---|---|
| 에나멜 쉐이핑이 뭐죠? 법랑질 성형에 대해 알아보자 (0) | 2025.10.02 |
| 치아가 없는데 교정 가능할까? 사랑니 설측교정방법 (0) | 2025.09.16 |
| 법랑질 성형 치아 길이 교정으로 가능할까 (0) | 2025.09.09 |
| 신논현 덧니 돌출입 복합증상 치아교정 어떻게 극복할까 (1) | 2025.09.03 |