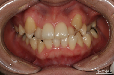
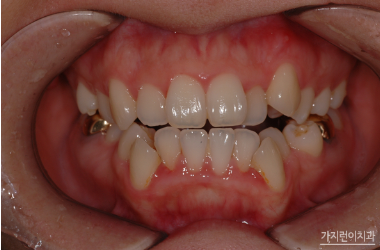
덧니가 송곳니? 덧니가 생기는 이유
안녕하세요? 옛날에는 송곳니가 덧니로 난 게 귀여움의 상징이었지만 최근들어서는 가지런한 치열이 미덕으로 보이고 있습니다. 좀 더 신뢰감도 주고 장난끼를 빼기 때문에 정직한 이미지까지 생겨나는데요. 그래서 덧니가 송곳니로 난 사람들은 강남치아교정을 알아보기도 합니다. 그렇다면 덧니는 왜 송곳니에만 나는 걸까요? 덧니는 영구치가 날 자리가 부족할 경우에 생겨나게 됩니다. 턱뼈의 크기는 작고 치아의 크기가 상대적으로 크다면 생겨나기 쉽겠죠.

덧니치아교정 요즘은 어떻게 하나요?
덧니는 특히 송곳니가 많은 편인데요. 송곳니의 특성상 나중에 나는 펀이기 때문에 잘못된 방향으로 맹출하게 되면 송곳니가 덧니로 자라나게 되는 것입니다. 즉 송곳니 뿐만 아니라 앞니에도 덧니가 생길 수 있다는 소리죠. 덧니치아교정은 치아가 포개져 있는 부분의 관리를 위해 시도하는 게 좋은데요. 충치나 잇몸질환에 쉽게 노출될 수 있는 환경이기 때문에 1급 부정교합으로 분류하고 있습니다. 가급적 빠른 치아교정을 통해 정돈된 치열로 건강을 챙겨보는 게 좋겠습니다.


덧니 교정이라고 해서 무조건 발치? 필요없어
무조건 발치를 진행하지 않아도 되는데요. 치아 사이의 법랑질을 약간 삭제해 공간을 얻는 치간삭제 방법이나, 전악후방 이동이나, 악궁확장 등의 방법으로도 공간을 확장해볼 수 있습니다. 물론 비발치교정이 불가능한 경우도 있기 때문에 각도나 위치에 따라 발치가 필요한 경우도 있는데요. 그런 경우에는 고집 피우지 않고 설계한 플랜대로 발치를 진행해 공간을 충분히 두고 교정을 해두는 게 좋습니다.


덧니 치아교정 시기는 언제?
덧니 치아교정은 심각도에 따라 교정시기를 차별화해야 하는데요. 벗어난 정도가 심하지 않다면 시작 시기가 중요하지 않지만 심한 경우에는 초등학교때 시작하는 게 좋습니다. 최근에는 교정 술기의 진화로 인해 다양한 교정장치를 만나볼 수 있게 되었는데요. 금속, 세라믹, 플라스틱 등 다양하지만 각 장치별로 기능 차이가 있기 때문에 교정과 담당원장님과 상의 후 결정해보는 게 좋겠습니다.
한마디로 덧니교정은 성장기에 진행해도 좋지만 성인이 된 이후에도 받아볼 수 있는데요. 덧니로 인해 불편함이나 구강질환이 걱정된다면 바로 치아교정을 시작하는 게 좋겠습니다. 덧니 교정이라고 해서 부분교정으로만 극복할 수 있는 것은 아닌데요. 덧니 형태와 전체적인 치열 상태를 확인한 후 구강 구조와 골격 등을 살펴 플랜을 수립해야 하겠습니다.
이 밖에도 강남 치아교정을 진행하고 있는 강남 가지런이치과 교정과 의원은 과잉치 치아교정 등 다양한 케이스의 교정을 시행하고 있는데요. 본인의 구강 상태에 대해 확인해보고 싶다면 언제든 내원해 본인이 정상교합인지 확인해보시기 바랍니다.
[서울가지런이치과교정과치과의원 - 홈] 악조건의 주걱턱, 돌출입, 심한덧니를 오직 치아교정으
주걱턱, 돌출입, 심한덧니를 오직 치아교정으로 가지런이
gajirune.modoo.at

'서울가지런이교정치과' 카테고리의 다른 글
| 잇몸에 나사를 박는 치아교정? 돌출입 특허교정이란 (0) | 2024.04.08 |
|---|---|
| 사랑니 똑바로 세울 수 있어요? 사랑니 교정방법 전후 (0) | 2024.04.04 |
| 군인도 치아교정 가능할까? 군 복무 중 교정 스케쥴은? (0) | 2024.03.12 |
| 비발치 치아교정? 치아교정할 때 발치가 필수라고? (0) | 2024.03.07 |
| 교정용 왁스? 언제 쓰는 걸까요? 교정 통증 얼마나 아플까 (2) | 2024.02.28 |