

치아교정할 때 잇몸에 나사를 박는다고?
안녕하세요? 서울 가지런이치과 의원입니다. 오늘은 교정용 스크류에 대해서 알아볼텐데요. 치아교정에 대한 보편적인 지식보다는 좀 더 딥한 내용을 알려드리기 위해 오늘은 교정용 나사 이야기를 해볼까 합니다. 먼저 미니스크류라고 불리는 이 장치는 잇몸뼈에 심는 게 맞습니다. 교정 중 치아를 이동해야 할 때 미니스크류를 이용해 와이어나 체인을 걸어 치아의 이동이 편하게 하는 일종의 고정원 역할을 하는 것인데요.


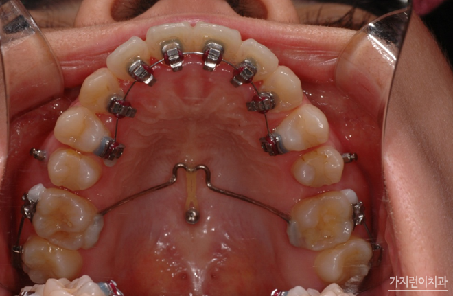
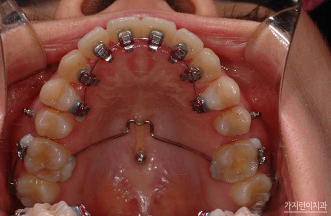
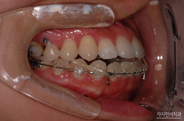
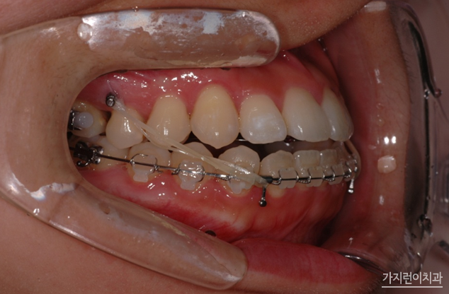
치아에 식립하는 미니 스크류
어떻게 저 나사를 잇몸에 박을 수 있죠??? 하겠지만 미니 스크류라는 말처럼 나사가 아주 작기 때문에 해당 치아가 이동을 하거나 치근이 흡수되는 등의 부작용은 걱정하지 않을 수 있겠습니다. 미니스크류를 이용하면 돌출된 치아를 후방으로 당겨야 하는데 전방으로 당겨지는 불상사를 미연에 방지할 수 있는데요. 안전성에 있어서 무엇보다 중요하기 때문에 환자의 뼈 두께나 뼈의 상태, 힘의 강도 등을 다각도로 고려해서 알맞은 크기를 선택하게 됩니다.
다음의 사진을 보면 미니스크류가 어떻게 이용되고 있는지 확인할 수 있는데요.
정말 작죠? 보시다시피 잇몸뼈나 입천장 등에 미니스크류를 심게 되는데요. 국소마취를 한 상태로 식립이 이루어지기 때문에 큰 통증은 없습니다. 하지만 마취가 풀리면 욱신거릴 수는 있어요. 꼭 필수는 아니지만 조금이라도 아픈 게 싫다?! 하는 분들이면 타이레놀 같은 진통제 복용이 도움이 됩니다. 또 나사를 뽑은 후에 잇몸에 구멍이 생기는 건 아니야? 하겠지만 공간이 작기 때문에 시간이 지나면 뼈와 살이 차오르게 됩니다. 걱정하지 않아도 된다는 소리죠-


예전에 일반적인 교정치료 방법으로는 힘들었던 경우에서 최근에는 미니스크류가 충분한 고정원 역할을 하여 원하지 않는 방향으로의 치아이동을 막아줄 수도 있습니다.
미니스크류가 필요한 경우
-심한 앞니돌충의 경우
-잇몸이 많이 보이는 경우
-부분교정의 경우
-어금니를 이동을 많이 할 경우
-어금니가 많이 쓰러져서 보철치료를 하기 어려운 경우
-치아전체를 후방으로 이동할 경우 등 다양한 경우가 있을 수 있습니다.
신기해도 건들면 안 돼
하지만 아무리 신기하고 안전하다고 해도 손으로 건드리거나 해서는 안 되는데요. 나사가 흔들리다 빠지게 되면 삼키지 않도록 주의해야 하며 곧바로 치과를 찾아주어야 합니다.
교정 나사에 관한 진실, 속 시원히 해결되셨나요? 더 자세한 내용은 아래의 링크를 참고해 주세요~
[서울가지런이치과교정과치과의원 - 홈] 악조건의 주걱턱, 돌출입, 심한덧니를 오직 치아교정으
주걱턱, 돌출입, 심한덧니를 오직 치아교정으로 가지런이
gajirune.modoo.at

'서울가지런이교정치과' 카테고리의 다른 글
| 어린 치아, 유치 막 뽑으면 안 된다고? (1) | 2024.04.19 |
|---|---|
| 성인 입툭튀 수술없이 교정 가능할까? (0) | 2024.04.16 |
| 사랑니 똑바로 세울 수 있어요? 사랑니 교정방법 전후 (0) | 2024.04.04 |
| 덧니가 송곳니? 덧니가 생기는 이유 (1) | 2024.03.14 |
| 군인도 치아교정 가능할까? 군 복무 중 교정 스케쥴은? (0) | 2024.03.12 |