
사랑니 똑바로 세우는 교정방법?
안녕하세요? 서울 가지런이 치과 교정과 의원입니다. 오늘은 쓰러진 사랑니를 바로 세워 어금니로 사용할 수 있는 교정방법에 대해 알아볼텐데요. 의학적으로 가능하다면 사랑니를 발치하기 보다 자연치아로 사용하는 것이 임플란트보다 훨씬 낫기 때문에 본원에서 쓰러진 사랑니를 세우는 교정을 쟁하고 있습니다. 물론 여러 케이스에 따라 다르지만 모양과 위치가 괜찮다는 전제 하에 진행해볼 수 있겠죠.

사랑니를 어금니로 대체하는 교정
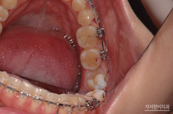
해당 환자분의 경우는 사랑니를 어금니로 대체하는 교정을 계획했었는데요. 위 사진을 보면 사랑니를 세우면서 임플란트를 식립하지 않고 발치 공간을 닫았습니다. 하악 좌측의 사랑니를 효과적으로 세우기 위해 modified bonded cantilever (MBC) spring을 사용했는데요.


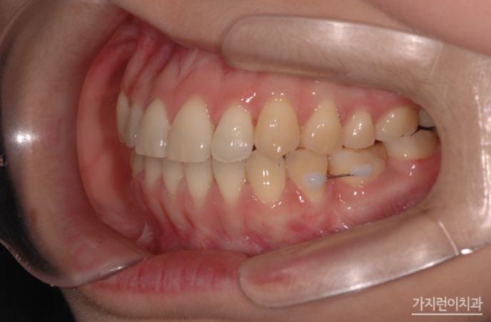
상하악 중심선도 잘 맞추었고 교합도 정상교합으로 맞춘 것을 볼 수 있습니다. 하악 사랑니도 잘 세워진 것을 눈으로 확인할 수 있을 정도가 되었는데요. 더 쉽게 보기 위해 교정 전후의 엑스레이 사진도 확인해보겠습니다.


사랑니라도 발치는 신중히 할 것
짜잔! 정말 달라졌죠! 사랑니 때문에 치아가 틀어져 치아교정을 고민하는 분들도 계시지만 임플란트 대신 쓰러진 사랑니를 바로 세워 치아교정을 통해 임플란트 대신 사용해볼 수도 있었는데요. 사랑니가 날 공간이 부족하면 앞의 치아들을 다 밀면서 나게 되고 부분적으로 맹출하게 되지만 모양이 괜찮다면 얼마든지 세워서 비어있는 공간을 닫아 어금니로 사용할 수 있답니다. 이를 뽑을 때는 신중해야 하는데요. 사랑니라도 치아를 배열할 공간이 필요하거나 치아를 뒤로 밀어주어야 하는 경우에는 발치하는 게 좋습니다. 참고로 사랑니의 경우 청소년, 청년 시기에 교정치료를 진행할 때 확인하는 경우가 많았는데요. 모양이 이상하거나 추후 문제가 될 것으로 판단이 된다면 25세 이전에 발치하는 것을 권유드리는 편입니다. 그 전에는 맹출된지 얼마 지나지 않아 무르기 때문이에요.
사랑니 임플란트 대체교정
요약하자면, 치아가 상실된 부위에는 임플란트나 기타 보철치료를 진행하게 되는데요. 이런 상실부분을 교정으로 대체치료해볼 수 있습니다. 어금니의 손상이 심한 경우에는 사랑니를 앞으로 당겨 결손 부위를 메우고 사랑니가 큰 어금니를 대체하게 되는 것이죠. 단, 사랑니가 건강하게 존재할 경우(모양과 발육이 좋은 경우)에만 가능하기 때문에 정밀진단 후에 결정해야 하겠습니다. 사랑니 임플란트 대체교정을 하게 되면 임플란트나 보철로 인한 추가적인 기간과 비용을 줄일 수 있는데요. 결손 공간에 임플란트를 하지 않고 자기치아를 사용할 수 있다는 점에서 큰 장점이 있지만 모두가 가능한 것은 아니니 꼭 치과를 방문해 진료를 받아보시기 바랍니다.
[서울가지런이치과교정과치과의원 - 홈] 악조건의 주걱턱, 돌출입, 심한덧니를 오직 치아교정으
주걱턱, 돌출입, 심한덧니를 오직 치아교정으로 가지런이
gajirune.modoo.at

'서울가지런이교정치과' 카테고리의 다른 글
| 성인 입툭튀 수술없이 교정 가능할까? (0) | 2024.04.16 | 
|---|---|
| 잇몸에 나사를 박는 치아교정? 돌출입 특허교정이란 (0) | 2024.04.08 | 
| 덧니가 송곳니? 덧니가 생기는 이유 (1) | 2024.03.14 | 
| 군인도 치아교정 가능할까? 군 복무 중 교정 스케쥴은? (0) | 2024.03.12 | 
| 비발치 치아교정? 치아교정할 때 발치가 필수라고? (0) | 2024.03.07 |