
치아교정과 임플란트 동시에 가능?
안녕하세요? 오늘은 하악 구치 결손으로 상악 구치가 심하게 정출된 환자 케이스를 가져와봤습니다. 환자 분은 하악의 어금니의 상당 부분을 상실한 상태였고, 상하악 전치가 뻐드러져 있었는데요. 환자분의 경우 임플란트와 교정을 동시에 진행해보고 싶어하셨습니다. 그렇다면 어떤 식으로 진행이 됐을까요?


치아상실을 방지하면 생길 문제점들
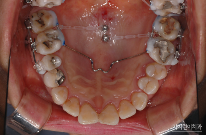
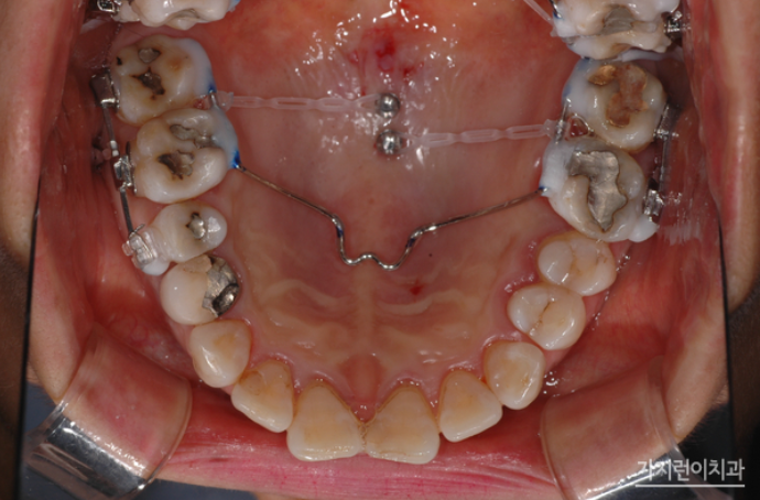
치아 상실 시 치료를 미루다가 방치하는 경우가 생각보다 많은데요. 치아 상실을 방치하면 빈 공간으로 치아가 이동하면서 치열이 무너질 수 있고, 또 잇몸 퇴축 현상이 일어나면서 추후 임플란트 시 문제가 될 수 있습니다. 그래서 환자분의 경우 치료를 통해 하악 구치부에 임플란트를 식립할 수 있었는데요. 상악 구치부의 함입을 위해 미니스크류를 식립했고 충분한 힘이 전해질 수 있도록 설계했습니다. 원래대로라면 하악 좌우 대구치 2개 및 제2소구치까지 모두 여섯 개의 임플란트가 필요했지만 이렇게 설계하면 임플란트를 4개만 심을 수 있었는데요.

합입 치료 5개월 후 7개월 후 그리고 1년
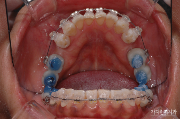
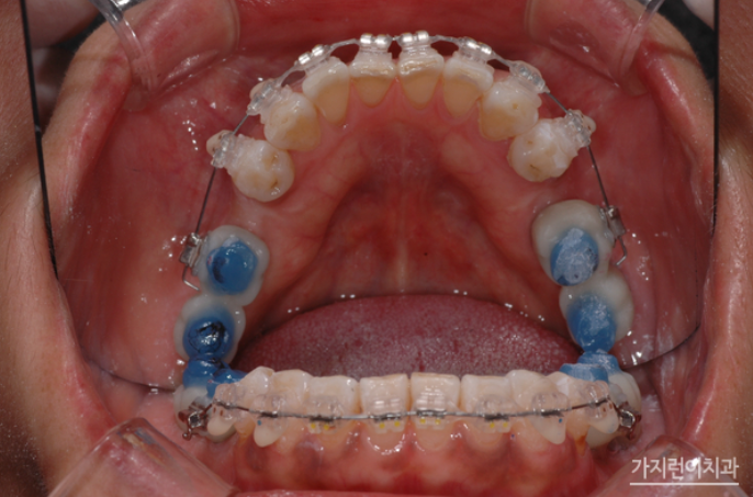
구치 함입 치료를 시작하고 5개월이 되었을 때 하악구치부에 임플란트 기둥을 식립했는데요. 함입 치료 7개월 차에 임시크라운을 올렸습니다. 이 과정 역시 어려운 난이도인데요. 상하악 전치의 뻐드러짐이 개선되면서 후방으로 이동하는 양을 정확히 계산해야 하기 때문입니다.
이후 치료가 시작된 지 1년이 지났고 상악 작은 어금니를 발치해 안정적인 교정을 진행하셨는데요. 안정적인 교정을 위해 상악 설측교정 장치는 두개의 와이어를 사용하는 탄댐설측교정 장치로 진행했습니다.
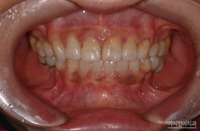
1년정도가 더 지나 모든 치료가 종결 되셨는데요. 교정과 임플란트를 병행했음에도 안정적인 구치부 교합이 만들어졌고, 상하악의 뻐드러짐도 말끔하게 개선되었습니다. 임플란트와 치아교정은 동시에 진행할 수 있을까? 라는 질문을 많이 받았는데요. 임플란트가 고정되어있기 때문에 교정이 조금만 틀어져도 틈이 벌어지는 등의 문제가 생겨날 수 있었습니다. 하지만 저희 서울가지런이치과 교정과 의원에서는 계획했던대로 치아의 이동이 잘 되었기 때문에 지정된 위치에 임플란트도 잘 식립했고 조화로운 교합상태가 되었습니다.

교정이 끝나고 3년이 지난 모습인데요. 나이가 들어 치아를 상실한 경우 보통은 임플란트만 하고 끝나겠지만 평소 뻐드러진 치아 콤플렉스를 개선하려는 환자의 의지와 바람이 의료진의 술기와 만나 좋은 시너지를 낼 수 있었던 케이스였습니다.
혹시나 나도 늦은 건 아닐까? 싶겠지만 환자분의 나이는 50대였는데요. 나이가 치료의 걸림돌이 되지 않도록 최선을 다해 진료하고 있으니 교정 고민이 있다면 언제든지 서울가지런이치과 교정과 의원을 방문해주시기 바랍니다.

'서울가지런이교정치과' 카테고리의 다른 글
| 돌출입 재교정하는 이유? 옥니 때문이야 (0) | 2024.06.21 |
|---|---|
| 서울 개방교합 교정 잘하는 곳? 후천적인 요인도 무시 못해 (0) | 2024.06.14 |
| 7살 치아교정 하기 어린 나이 아닌가요? 튜브 교정이란~ (13) | 2024.06.07 |
| 서울에 프리올소 교정하는 곳? 성장기 아동 근골격 훈련장치란? (11) | 2024.06.04 |
| 강남 치아교정, 임플란트 동시에 가능할까? (미니스크류 이용 사례) (0) | 2024.05.17 |