
돌출입 재교정 잘하는 치과 찾아야 하는 이유
안녕하세요? 서울 가지런이치과 교정과 의원입니다. 본원은 치아교정을 전문적으로 다루어온 치과입니다. 환자의 치료뿐 아니라 더 나은 치료를 위한 연구활동도 게을리하지 않아 치열교정 관련 특허도 보유하고 있으며, 관련 논문도 꾸준히 발표하고 있는데요. 그래서 임플란트 안 하는 교정, 비발치교정, 돌출입교정, 설측교정, 콤비교정, 수술교정 등 치아교정을 원하는 다양한 증상의 환자들이 찾아 주십니다.
특히 본원에 재교정 상담이 많은 편인데요. 타 치과에서 교정치료를 받았지만 모종의 이유로 교정 후 다시 문제가 생겨 재교정을 원하는 환자 분들이 찾아주십니다.


돌출입 재교정의 큰 원인, 옥니
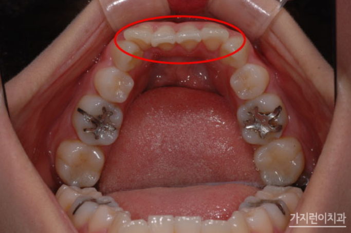
위 케이스는 돌출입 교정을 진행했지만 옥니로 변해버린 치아 케이스인데요. 돌출입 재교정은 실패 원인을 정확하게 파악하고, 해당 문제를 바로잡아야 하기에 보다 세세하게 환자 상태를 파악할 수 있는 진단 장비를 갖추고 있어야 합니다. 또한 의료진이 충분한 임상 경험을 가지고 있어야 하죠. 해당 분의 경우 돌출입 교정을 받았지만 개선 정도가 미비했으며 치열은 가지런해졌지만 과도한 교정력에 의해 하악 앞니가 옥니 형태가 되었다는 점이었습니다.
옥니는 전방의 치아가 안쪽으로 기울어져 들어간 형태를 말합니다.큰 불편함을 느끼지 못하기 때문에 방치하는 분들이 많이 계시지만 시간이 지나면 증상이 심화되어 결국 앞니로 음식을 끊어먹지 못하는 상황이 생기고 맙니다.


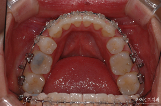
상악은 설측교정방식으로 하악은 순측교정방식으로
해당 환자분의 경우 잘 드러나 보이는 상악은 교정장치를 치아의 뒤에 부착하는 설측교정방식으로, 입술에 가려져 상대적으로 덜 부각되어 보이는 하악은 순측교정 방식으로 진행했습니다. 옥니를 교정하기 위해서는 치아를 이동시켜 다시 바깥 방향으로 각도를 조절해야 하기 때문에 충분한 힘을 받을 수 있도록 미니 스크류를 식립하여 교정용 고무줄을 연결했는데요. 상악 역시 앞으로 돌출되어 나온 부분을 뒤로 밀어 넣어야 하기 때문에 미니스크류를 식립하여 효과적으로 힘이 전달될 수 있도록 하였습니다.
교정은 보이는 부분이 다가 아니기 때문에 이런 부분에 있어 더욱 꼼꼼한 치료플랜 설정이 필요합니다.


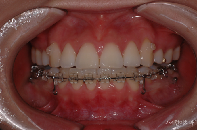
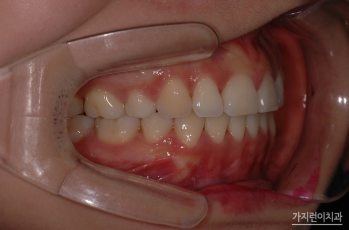
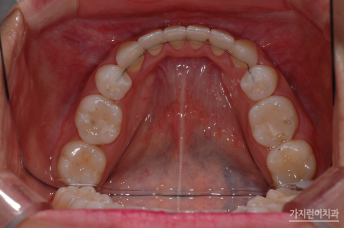
이 사진은 치료가 끝난 후 모습입니다. 다소 흐트러졌던 치열도 가지런하게 배열되었고, 무엇보다 옥니 증상이 확연히 개선된 것을 확인할 수 있었는데요. 도드라져 보이던 상악 돌출도 만족스러울 정도로 개선된 모습을 볼 수 있습니다. 사실 돌출입은 안모 변화가 큰 편이라 살펴보지 않을 수가 없는 부분인데요. 재교정 전에는 상악 돌출로 인해 입이 잘 다물어지지 않았고, 입을 다물기 위해서는 입술 아래 턱에 힘을 주어야만 했다면 이후에는 자연스럽게 입이 다물어지고, 이상적인 측면 페이스라인을 확인해볼 수 있게 되었습니다.
주의할 점은, 재교정 시 무리하게 치료했다가는 자칫 치아가 약해져 교정을 안하느니만 못한 상황이 될 수 있다는 점인데요. 정확한 원인을 찾아 이를 바로잡는 제대로된 교정치료를 받아야 하기 때문에 의료진의 실력과 환자분의 협조도도 무척 중요하다고 강조하고 싶습니다.
재교정이라는 불안함과 부담감을 이겨 내고 의료진의 권고에 잘 협조해주신다면 안정적으로 치료를 마칠 수 있는데요. 한번 실패를 했기 때문에 재교정을 결심한다는 것이 쉽지 않겠지만 재교정을 고민하고 있다면 지금 바로 가지런이치과를 찾아 상담을 받아보길 권장드립니다.

'서울가지런이교정치과' 카테고리의 다른 글
| 서울 강남 전치부 교차교합 주걱턱도 비수술로 교정 가능할까? (0) | 2024.07.02 |
|---|---|
| 티나지 않게 교정하는 방법 직장인들이 선호하는 방법 (0) | 2024.06.24 |
| 서울 개방교합 교정 잘하는 곳? 후천적인 요인도 무시 못해 (0) | 2024.06.14 |
| 치아교정과 임플란트 동시에 가능할까? 서울 가지런이 치과 교정과 의원에서 (0) | 2024.06.13 |
| 7살 치아교정 하기 어린 나이 아닌가요? 튜브 교정이란~ (13) | 2024.06.07 |