
강남에 거주하는 교정전문치과
안녕하세요? 서울 가지런이치과 교정과 의원입니다. 본원은 강남에 위치해 있어 치아교정 상담을 위해 방문하는 직장인분들이 많은데요. 사회활동을 하고 있기 때문에 티나지 않는 치아교정을 선호하시는 편입니다. 특히 서비스업에 종사하는 경우라면 호감도와 신뢰도를 높이기 위해 외모에 신경을 많이 쓰고 있는데요. 티나지 않는 직장인을 위한 교정방법 무엇일까요? 바로 탄댐설측교정입니다.

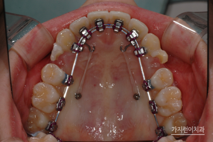
더블와이어 설측탄댐장치란!?
위 사진은 더블와이어를 이용한 설측탄댐장치인데요. 치아의 비뚤어짐이나 쓰러짐, 뿌리 조절 등을 정교하게 컨트롤할 수 있는 교정장치입니다. 3차원적인 치아이동 조절을 위해 특수하게 고안된 장치인데요. 기존의 설측교정장치가 뿌리 이동이 용이하지 않았다는 단점을 개선해 미세한 조절이 가능해졌다는 특징이 있습니다.



탄댐설측교정의 장점은?
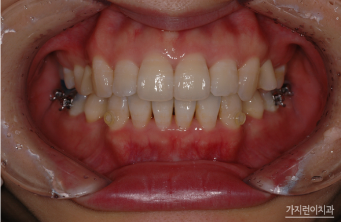
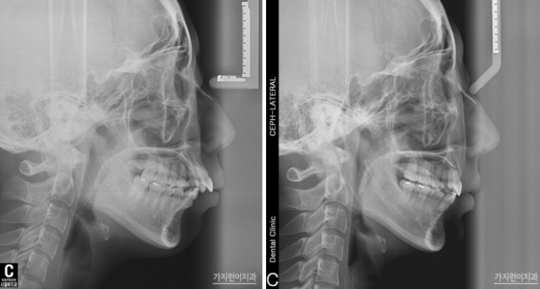
위 사진처럼 설측으로는 복잡해보이는 장치가 보이지만 이를 앙 다문 상태에서는 장치가 보이지 않는데요. 두 개의 와이어를 사용해 치아이동에 필요한 힘을 효과적으로 줄 수 있는데다 치아의 쓰러짐을 방지해 마찰력을 줄여 결과적으로는 치료기간이 크게 단축되었다는 것을 볼 수 있습니다. 게다가 덧니, 돌출입, 비발치 교정 등 기존 설측교정장치보다 빠르고 탁월한 결과를 얻어볼 수 있겠습니다.



엑스레이 사진을 통해 확인할 수 있는 안모 변화도 눈에 띄는데요. 24개월이 소요된 교정기간 동안 장치는 티 나지 않으면서 교정을 완성할 수 있었기에 환자분의 만족도도 높은 편이었습니다. 탄댐설측교정 후에는 자연스럽게 입을 다물 수 있어 자연스레 미소를 머금던 모습이 기억나는데요. 티 나지 않는 직장인 교정으로 속 앓이 없이 성공적인 교정을 해보고 싶다면 본원을 방문해 탄댐설측교정 상담을 받아보시기 바랍니다.
'서울가지런이교정치과' 카테고리의 다른 글
| 수술교정 편견 가지면 안 돼요! 오해와 편견 (1) | 2024.07.03 |
|---|---|
| 서울 강남 전치부 교차교합 주걱턱도 비수술로 교정 가능할까? (0) | 2024.07.02 |
| 돌출입 재교정하는 이유? 옥니 때문이야 (0) | 2024.06.21 |
| 서울 개방교합 교정 잘하는 곳? 후천적인 요인도 무시 못해 (0) | 2024.06.14 |
| 치아교정과 임플란트 동시에 가능할까? 서울 가지런이 치과 교정과 의원에서 (0) | 2024.06.13 |

