
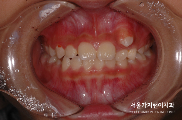
심한 상악 송곳니 덧니의 경우 교정을 할 수 있을까요? 이번 케이스는 어린이 환자분이었습니다. 덧니가 심해 환자와 보호자 모두 이 덧니를 개선하고 싶어했는데요. 아이가 성장 중이었기 때문에 엉뚱한 곳으로 치아가 맹출하지 않도록 신경을 쓴 부분입니다.


치열이 좁아서 공간이 부족하거나 유치가 제때 빠지지 않은 경우에는 '이소맹출'이 발생할 수 있었는데요. 치아의 맹출 방향 이상, 잇몸 혹은 뼈 내부의 병변, 유전적 및 발달적 용인에 의해 발생할 수 있었어요. 어린이 환자의 경우에는 이소맹출 때문에 좌측 유견치의 뿌리가 흡수되지 않았고 동요도 없는 상태였는데요. 골격적으로 봤을 때 하악골의 과성장 패턴도 보이고 있었어요.

그래서 엉뚱한 자리로 자란 상악 좌측 견치를 제 자리로 이동시키기 위해 잔존한 유견치를 발치했고 해당 자리로 이소 맹출된 견치를 이동시키는 플랜을 수립했었습니다. 어금니를 전방으로 이동시키면 견치를 배열할 공간이 줄어들 수 있었는데 환자의 보호자 분께서 미니스크류 사용을 반대하셨기 때문에 다른 방법을 찾아야 했었습니다. 그래서 환자 분의 경우 TPA(횡구개 아치)를 본딩해 어금니가 이동하지 않도록 잡아주었습니다.
송곳니 치아교정을 진행하면서 어금니가 이동하지 않도록 신경 쓴 부분이었는데요. 유치가 빠지고 영구치가 자라는 과정에 있는 성장기 어린이환자였기 때문에 이 부분도 조심스럽게 접근해 진행하였습니다.

아직 성장 중이라는 부분을 활용해 치아교정을 이용한 케이스에 혹시 모를 상황을 대비했는데요. 상악골이 조금 더 나와보이는 이유는 아이가 하악골 과성장 패턴을 보였기 때문에 잔여 성장으로 자랄 것을 예상하여 맞춘 케이스입니다. 만약 이때 딱 맞춰 교정할게 된다면 앞니의 맞물림이 절단교합 혹은 교차교합으로 될 가능성이 높았기 때문에 이를 방지하기 위해 과수정되게 끝낸 것이죠.
심한 송곳니 덧니의 비발치 성장기 교정 케이스
며칠 날이 흐리고 비가 와서인지 실내외를 가리지 않고 공기가 너무 습합니다. 더워서도 그렇지만 정말이지...
blog.naver.com
더 자세한 후기는 상단의 블로그 후기에서 확인해볼 수 있는데요. 환자의 경우 치료가 끝난 5년 6개월이 된 시점에도 저희 치과를 찾아와 구강관리를 하고 있답니다. 본원은 교정을 전문적으로 다룬만큼 성장기 어린이 교정에 대한 경험치가 쌓아져 있고 이를 토대로 다양한 케이스가 준비되어있으니 자녀의 치아교정을 고민하고 있다면 교정케이스를 참고해 도움 받아보시기 바랍니다.

'서울가지런이교정치과' 카테고리의 다른 글
| 앞니교정 단기간에 가능할까? 튜브교정 (4) | 2025.08.06 |
|---|---|
| 수술 없이 주걱턱 교정 하면 장기적으로 괜찮을까? (2) | 2025.07.22 |
| 주걱턱 돌출입재교정 중등도 난이도 케이스 '악궁확장 장치' 없이? (6) | 2025.06.24 |
| 거미스마일 심한 사람 치아교정으로 될까? (1) | 2025.06.11 |
| 강남 | 임플란트 있는데 치아교정? 서초구에서 알아보세요 (1) | 2025.05.19 |