앞니튜브교정이란?

안녕하세요? 서울가지런이치과 교정과 의원입니다.
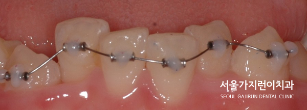
오늘은 튜브교정에 대해 알아보겠습니다. 앞니 교정을 할 때 적용할 수 있는 방법으로 심미적인 교정으로 알려져 있는데요. 치아색과 비슷한 세라믹 교정장치 보다 크기가 더 작은 장치입니다. 때문에 이물감이 적고 음식물이 끼는 정도가 적은 편인데요. 장치가 복잡하지혼란고 심플하기 때문에 교정을 처음 시작하려는 분들도 금방 적응할 수 있습니다.



다음은 본원에서 튜브교정 장치를 이용한 개선사례인데요. 혼합치열기인것을 감안해도 상당히 들쑥날쑥한 치아배열을 가지고 있습니다. 치아가 기울어져 자란 케이스였는데요. 환자 분의 경우 10살의 나이였고 6개월간의 치료기간이 소요 되었습니다.
앞니 문제 단기간 교정으로 OK!
외모에서 앞니가 차지하는 비중이 크다는 것은 백 번 말해도 입이 아프죠. 이는 유명 연예인들의 비포&...
blog.naver.com
(더 자세한 후기는 상단의 링크를 확인해보세요)


또 다음 사례의 경우 20대 남자 환자분이었는데요. 두달 반 만에 변화한 모습을 확인할 수 있었습니다. 20대의 경우 10대와 달리 활발한 사회생활을 하고 있기 때문에 더욱 심미성이 중요할 수 밖에 없었는데요. 상악의 앞니 뻐드러짐과 배열 이상을 두 달 반 만에 극복한 케이스입니다. 물론 앞니교정이라고 해서 모두가 단기간에 교정을 성공할 수는 없지만 빠른 교정의 조건만 맞는다면 단기간 안에도 앞니 교정이 가능한데요. 앞니교정만을 고민하고 있다면 교정전문치과를 방문해 가능한지 여부를 체크해볼 수 있겠습니다.
교정치료는 보통 짧으면 6개월, 길면 2년의 시간이 필요한데요. 학생이나 영업직에 조사하는 분들이라면 튜브교정장치로 치료를 받아보는 것도 좋을 것 같습니다. 튜브 장치는 치아의 이동 제한이 있기 때문에 복잡한 치료에는 적용할 수 어려운 경우가 있을 수 있으니 꼭 치과교정과 전문의의 상담을 토대로 진행해야 하겠습니다.

'서울가지런이교정치과' 카테고리의 다른 글
| 신논현 덧니 돌출입 복합증상 치아교정 어떻게 극복할까 (1) | 2025.09.03 |
|---|---|
| 신논현 어린이교정 전 소아진료 받으면 좋은 것들 (2) | 2025.08.18 |
| 수술 없이 주걱턱 교정 하면 장기적으로 괜찮을까? (2) | 2025.07.22 |
| 송곳니가 심한 덧니로 났을 때 어떻게 극복할 수 있을까? (2) | 2025.07.04 |
| 주걱턱 돌출입재교정 중등도 난이도 케이스 '악궁확장 장치' 없이? (6) | 2025.06.24 |