
안녕하세요? 서울가지런이치과 교정과 의원입니다. 오늘은 주걱턱을 수술없이 교정한 사례를 가져와봤습니다.
소개해드릴 환자분은 다른 치과에서 양악수술을 꼭 해야 한다고 진단을 받았다고 하는데요. 수술에 대한 두려움이 있는 분이었기때문에 비수술적인 방법으로 교정이 아예 불가능한지 검색하다 저희 치과를 찾게 되었다고 합니다.


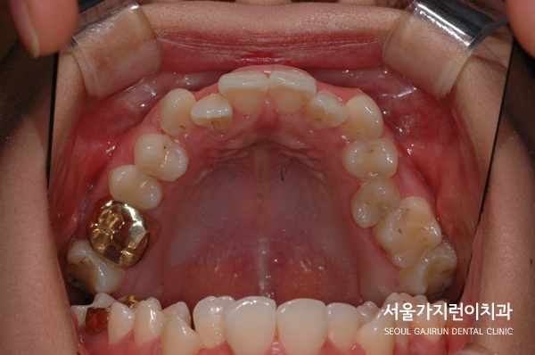
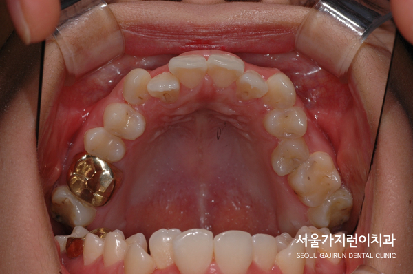
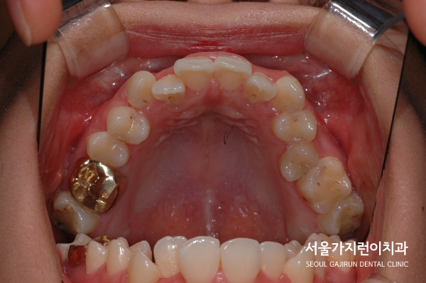
환자분의 경우 상악이 좁아 공간이 부족해 상악 치열이 좋지 않았는데요.

여기에 상악골의 열성장으로 인해 앞니가 거꾸로 물린 상태였습니다. 교합이 어긋나 있기 때문에 저작도 어려운 상태였는데요. 이런 문제점을 보고 저희 치과에서는,

악궁확장장치를 사용해 좁은 상악골을 하악에 맞춰 넓혀주는 교정을 시행했습니다.

이후 미니스크류를 이용해 하악 전체 치열을 후방으로 이동시켰으며 발치한 제 2대구치를 사랑니로 대체해 사랑니를 어금니로 쓸 수 있게 했는데요.

결과적으로 정상교합 달성과 함께 하악 치열의 후방이동도 잘 이루어져 아랫 입술이 들어가 주걱턱 느낌도 많이 개선되었습니다. 이 사진은 치료 종료 후 5년 6개월이 지난 경과 찍은 사진인데요. 이 분의 케이스를 보면 주걱턱도 비수술적인 방법으로 교정했다고 하더라도 장기적 안정성 측면에서 충분히 교정을 할만한 가치가 있다고 보여집니다. 획일적인 방법이 아니라 환자 개인의 특성에 맞춰 치아교정 플랜을 수립했기 때문에 가능한 일이라고 생각하는데요. 맞춤 교정치료를 진행할 수 있는 교정전문치과를 방문해야 할 이유라고 생각이 됩니다.
비수술 주걱턱 교정 장기 안정성 괜찮을까?
이웃님들 안녕하신가요? 지난 주부터 수해 소식이 들려와서 안녕하시냐는 인사를 하기도 참으로 조심스럽습...
blog.naver.com
더 상세한 치아교정 후기를 보고 싶다면 상단의 링크를 클릭해 확인해 보시기 바랍니다.

'서울가지런이교정치과' 카테고리의 다른 글
| 신논현 어린이교정 전 소아진료 받으면 좋은 것들 (2) | 2025.08.18 |
|---|---|
| 앞니교정 단기간에 가능할까? 튜브교정 (4) | 2025.08.06 |
| 송곳니가 심한 덧니로 났을 때 어떻게 극복할 수 있을까? (2) | 2025.07.04 |
| 주걱턱 돌출입재교정 중등도 난이도 케이스 '악궁확장 장치' 없이? (6) | 2025.06.24 |
| 거미스마일 심한 사람 치아교정으로 될까? (1) | 2025.06.11 |